Cell Signaling Technology Logo - Extra Large

Steroid Hormone Receptor Antibody Sampler Kit #84200

    Product Information

    Product Description

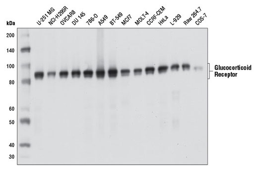
    The Steroid Hormone Receptor Antibody Sampler Kit provides an economical means of detecting levels of steroid hormone nuclear receptors. The kit includes enough antibodies to perform two western blot experiments with each primary antibody.

    Background

    Androgen receptor (AR), a zinc finger transcription factor belonging to the nuclear receptor superfamily, is activated by phosphorylation and dimerization upon ligand binding (1). This promotes nuclear localization and binding of AR to androgen response elements in androgen target genes. Research studies have shown that AR plays a crucial role in several stages of male development and the progression of prostate cancer (2,3). Estrogen receptor α (ERα), a member of the steroid receptor superfamily, contains highly conserved DNA-binding and ligand-binding domains (4). Through its estrogen-independent and estrogen-dependent activation domains (AF-1 and AF-2, respectively), ERα regulates transcription by recruiting coactivator proteins and interacting with general transcriptional machinery (5). Human progesterone receptor (PR) is expressed as two forms: the full length PR-B and the short form PR-A. PR-A lacks the first 164 amino acid residues of PR-B (6,7). Both PR-A and PR-B are ligand activated, but differ in their relative ability to activate target gene transcription (8,9). Glucocorticoid hormones control cellular proliferation, inflammation, and metabolism through their association with the glucocorticoid receptor (GR)/NR3C1, a member of the nuclear hormone receptor superfamily of transcription factors (10). GR is composed of several conserved structural elements, including a carboxy-terminal ligand-binding domain (which also contains residues critical for receptor dimerization and hormone-dependent gene transactivation), a neighboring hinge region containing nuclear localization signals, a central zinc-finger-containing DNA-binding domain, and an amino-terminal variable region that participates in ligand-independent gene transcription. In the absence of hormone, a significant population of GR is localized to the cytoplasm in an inactive form via its association with regulatory chaperone proteins, such as HSP90, HSP70, and FKBP52. On hormone binding, GR is released from the chaperone complex and translocates to the nucleus as a dimer to associate with specific DNA sequences termed glucocorticoid response elements (GREs), thereby enhancing or repressing transcription of specific target genes (11). Mineralocorticoid receptor (MR) is a steroid hormone receptor with structural and functional similarities to GR. MR binds with high affinity to aldosterone and other mineralocorticoids as well as glucocorticoids (12-14). Upon ligand binding, MR undergoes conformational changes and enters the nucleus to bind to target mineralocorticoid response elements (MREs) (4,15,16). MR is also able to heterodimerize with GR and bind to hormone response elements on DNA in cells that express both receptors (17-19). 
    1. Li, J. and Al-Azzawi, F. (2009) Maturitas 63, 142-8.
    2. Avila, D.M. et al. (2001) J Steroid Biochem Mol Biol 76, 135-42.
    3. Montgomery, J.S. et al. (2001) J Pathol 195, 138-46.
    4. Mangelsdorf, D.J. et al. (1995) Cell 83, 835-9.
    5. Glass, C.K. and Rosenfeld, M.G. (2000) Genes Dev 14, 121-41.
    6. Evans, R.M. (1988) Science 240, 889-95.
    7. Kastner, P. et al. (1990) EMBO J 9, 1603-14.
    8. Giangrande, P.H. et al. (2000) Mol Cell Biol 20, 3102-15.
    9. Wen, D.X. et al. (1994) Mol Cell Biol 14, 8356-64.
    10. Yamamoto, K.R. (1985) Annu Rev Genet 19, 209-52.
    11. Necela, B.M. and Cidlowski, J.A. (2003) Trends Pharmacol Sci 24, 58-61.
    12. Arriza, J.L. et al. (1987) Science 237, 268-75.
    13. Giguère, V. et al. (1988) Nature 331, 91-4.
    14. Beato, M. et al. (1995) Cell 83, 851-7.
    15. Guiochon-Mantel, A. et al. (1996) J Steroid Biochem Mol Biol 56, 3-9.
    16. Liu, W. et al. (1995) Proc Natl Acad Sci U S A 92, 12480-4.
    17. Liu, W. et al. (1996) Mol Endocrinol 10, 1399-406.
    18. Trapp, T. et al. (1994) Neuron 13, 1457-62.
    19. Funder, J.W. (1995) J Steroid Biochem Mol Biol 53, 53-5.
    For Research Use Only. Not for Use in Diagnostic Procedures.
    Cell Signaling Technology is a trademark of Cell Signaling Technology, Inc.
    All other trademarks are the property of their respective owners. Visit our Trademark Information page.