Cell Signaling Technology Logo - Extra Large
Recombinant Flag
Recombinant: Superior lot-to-lot consistency, continuous supply, and animal-free manufacturing.

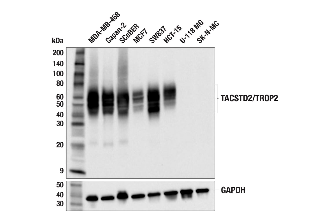
TACSTD2/TROP2 (F4W4J) Rabbit Monoclonal Antibody (BSA and Azide Free) #88163

Filter:
  • WB
  • IHC

    Product Specifications

    REACTIVITY H
    SENSITIVITY Endogenous
    MW (kDa) 45-65
    Source/Isotype Rabbit IgG
    Application Key:
    • WB-Western Blotting 
    • IHC-Immunohistochemistry 
    Species Cross-Reactivity Key:
    • H-Human 

    Product Information

    Product Usage Information

    This product is the carrier free version of product #76730. All data were generated using the same antibody clone in the standard formulation which contains BSA and glycerol.

    This formulation is ideal for use with technologies requiring specialized or custom antibody labeling, including fluorophores, metals, lanthanides, and oligonucleotides. It is not recommended for ChIP, ChIP-seq, CUT&RUN or CUT&Tag assays. If you require a carrier free formulation for chromatin profiling, please contact us. Optimal dilutions/concentrations should be determined by the end user.

    BSA and Azide Free antibodies are quality control tested by size exclusion chromatography (SEC) to determine antibody integrity.

    Formulation

    Supplied in 1X PBS (10 mM Na2HPO4, 3 mM KCl, 2 mM KH2PO4, and 140 mM NaCl (pH 7.8)). BSA and Azide Free.

    For standard formulation of this product see product #76730

    Storage

    Store at -20°C. This product will freeze at -20°C so it is recommended to aliquot into single-use vials to avoid multiple freeze/thaw cycles. A slight precipitate may be present and can be dissolved by gently vortexing. This will not interfere with antibody performance.

    Specificity / Sensitivity

    TACSTD2/TROP2 (F4W4J) Rabbit Monoclonal Antibody (BSA and Azide Free) recognizes endogenous levels of total TACSTD2/TROP2 protein.

    Species Reactivity:

    Human

    Source / Purification

    Monoclonal antibody is produced by immunizing animals with recombinant protein specific to the extracellular domain of human TACSTD2/TROP2 protein. The antigen has been further characterized as corresponding to residues surrounding Ile219 of human TACSTD2/TROP2 protein.

    Background

    TROP2 is a transmembrane glycoprotein encoded by gene TACSTD2 (tumor-associated calcium signal transducer 2). TROP2 was first discovered as a biomarker of invasive trophoblast cells and later reported in many types of cancer cells, in various organs during development, and adult stem cells during homeostasis (1,2). TROP2 has an extracellular domain with EGF thyroglobulin type-1 repeats, a transmembrane domain, and a short cytoplasmic tail with a HIKE domain containing a PIP2 binding site and PKC phosphorylation site (Ser303) (1-4). TROP2 functions by regulating multiple signaling pathways, including the interaction of its extracellular domain with integrin beta1 to regulate FAK signaling, the association of its transmembrane domain with claudin-1 and claudin-7 for tight junction formation, and the regulation of intracellular calcium release by its PIP2 binding and activation of the ERK/MAPK pathway (1,2,5-8). All these functions are important for its role in tumor proliferation, metastasis, and invasion (1,2). PKC can phosphorylate TROP2 at Ser303; the phosphorylation changes the cytoplasmic tail conformation and further promotes its signaling (9). TROP2 can be activated through intramembrane proteolysis first by TACE, followed by further cleavage by Presenilin 1 and Presenilin 2. The proteolysis process is required for its role in tumor cell proliferation (10,11).

    Alternate Names

    40kD glycoprotein, identified by monoclonal antibody GA733; Cell surface glycoprotein Trop-2; cell surface glycoprotein TROP2; EGP-1; EGP1; epithelial glycoprotein-1; GA733-1; GA7331; gastrointestinal tumor-associated antigen GA7331; GP50; M1S1; Membrane component chromosome 1 surface marker 1; membrane component, chromosome 1, surface marker 1; Pancreatic carcinoma marker protein GA733-1; pancreatic carcinoma marker protein GA7331; TACD2; TACSTD2; TROP2; trophoblast cell surface antigen 2; truncated TACSTD2; tumor associated calcium signal transducer 2; Tumor-associated calcium signal transducer 2

    For Research Use Only. Not for Use in Diagnostic Procedures.
    Cell Signaling Technology is a trademark of Cell Signaling Technology, Inc.
    All other trademarks are the property of their respective owners. Visit our Trademark Information page.