Render Target: STATIC
Render Timestamp:
5/21/2026, 6:57:39 AM EDT
5/21/2026, 10:57:39 AM UTC
Commit: 7ed46ecc04b401f23a28df741b5078df405d23e4
XML generation date: 2025-11-12 16:17:24.720
Product last modified at: 2026-03-20T08:01:38.714Z
Cell Signaling Technology Logo - Extra Large
1% for the planet logo
PDP - Template Name: Monoclonal Antibody
PDP - Template ID: *******c5e4b77
Trial Size Available Flag
Recombinant Flag
Recombinant: Superior lot-to-lot consistency, continuous supply, and animal-free manufacturing.

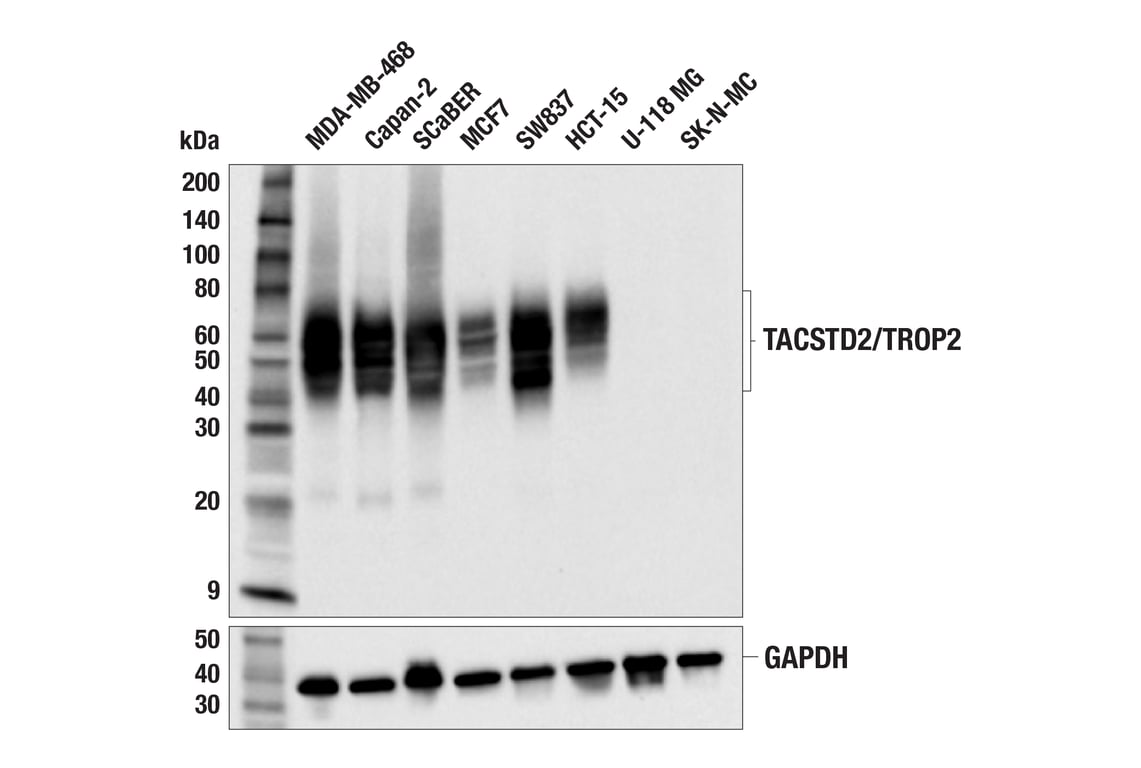
TACSTD2/TROP2 (F4W4J) Rabbit Monoclonal Antibody #76730

Filter:
  • WB
  • IHC

    Product Specifications

    REACTIVITY H
    SENSITIVITY Endogenous
    MW (kDa) 45-65
    Source/Isotype Rabbit IgG
    Application Key:
    • WB-Western Blotting 
    • IHC-Immunohistochemistry 
    Species Cross-Reactivity Key:
    • H-Human 

    Product Information

    Product Usage Information

    Application Dilution
    Western Blotting 1:1000
    IHC Leica Bond 1:400 - 1:1600
    Immunohistochemistry (Paraffin) 1:50 - 1:200

    Storage

    Supplied in 10 mM sodium HEPES (pH 7.5), 150 mM NaCl, 100 µg/mL BSA, 50% glycerol, and less than 0.02% sodium azide. Store at –20°C. Do not aliquot the antibody.

    For a carrier free (BSA and azide free) version of this product see product #88163.

    Protocol

    Specificity / Sensitivity

    TACSTD2/TROP2 (F4W4J) Rabbit Monoclonal Antibody recognizes endogenous levels of total TACSTD2/TROP2 protein.

    Species Reactivity:

    Human

    Source / Purification

    Monoclonal antibody is produced by immunizing animals with recombinant protein specific to the extracellular domain of human TACSTD2/TROP2 protein. The antigen has been further characterized as corresponding to residues surrounding Ile219 of human TACSTD2/TROP2 protein.

    Background

    TROP2 is a transmembrane glycoprotein encoded by gene TACSTD2 (tumor-associated calcium signal transducer 2). TROP2 was first discovered as a biomarker of invasive trophoblast cells and later reported in many types of cancer cells, in various organs during development, and adult stem cells during homeostasis (1,2). TROP2 has an extracellular domain with EGF thyroglobulin type-1 repeats, a transmembrane domain, and a short cytoplasmic tail with a HIKE domain containing a PIP2 binding site and PKC phosphorylation site (Ser303) (1-4). TROP2 functions by regulating multiple signaling pathways, including the interaction of its extracellular domain with integrin beta1 to regulate FAK signaling, the association of its transmembrane domain with claudin-1 and claudin-7 for tight junction formation, and the regulation of intracellular calcium release by its PIP2 binding and activation of the ERK/MAPK pathway (1,2,5-8). All these functions are important for its role in tumor proliferation, metastasis, and invasion (1,2). PKC can phosphorylate TROP2 at Ser303; the phosphorylation changes the cytoplasmic tail conformation and further promotes its signaling (9). TROP2 can be activated through intramembrane proteolysis first by TACE, followed by further cleavage by Presenilin 1 and Presenilin 2. The proteolysis process is required for its role in tumor cell proliferation (10,11).

    Alternate Names

    40kD glycoprotein, identified by monoclonal antibody GA733; Cell surface glycoprotein Trop-2; cell surface glycoprotein TROP2; EGP-1; EGP1; epithelial glycoprotein-1; GA733-1; GA7331; gastrointestinal tumor-associated antigen GA7331; GP50; M1S1; Membrane component chromosome 1 surface marker 1; membrane component, chromosome 1, surface marker 1; Pancreatic carcinoma marker protein GA733-1; pancreatic carcinoma marker protein GA7331; TACD2; TACSTD2; TROP2; trophoblast cell surface antigen 2; truncated TACSTD2; tumor associated calcium signal transducer 2; Tumor-associated calcium signal transducer 2

    For Research Use Only. Not for Use in Diagnostic Procedures.
    Cell Signaling Technology is a trademark of Cell Signaling Technology, Inc.
    All other trademarks are the property of their respective owners. Visit our Trademark Information page.