Cell Signaling Technology Logo - Extra Large
Trial Size Available Flag
Recombinant Flag
Recombinant: Superior lot-to-lot consistency, continuous supply, and animal-free manufacturing.

TAX1BP1 (D1D5) Rabbit Monoclonal Antibody #5105

Filter:
  • WB
  • IP

    Product Specifications

    REACTIVITY H
    SENSITIVITY Endogenous
    MW (kDa) 92
    Source/Isotype Rabbit IgG
    Application Key:
    • WB-Western Blotting 
    • IP-Immunoprecipitation 
    Species Cross-Reactivity Key:
    • H-Human 

    Product Information

    Product Usage Information

    Application Dilution
    Western Blotting 1:1000
    Immunoprecipitation 1:100

    Storage

    Supplied in 10 mM sodium HEPES (pH 7.5), 150 mM NaCl, 100 µg/ml BSA, 50% glycerol and less than 0.02% sodium azide. Store at –20°C. Do not aliquot the antibody.

    Protocol

    Specificity / Sensitivity

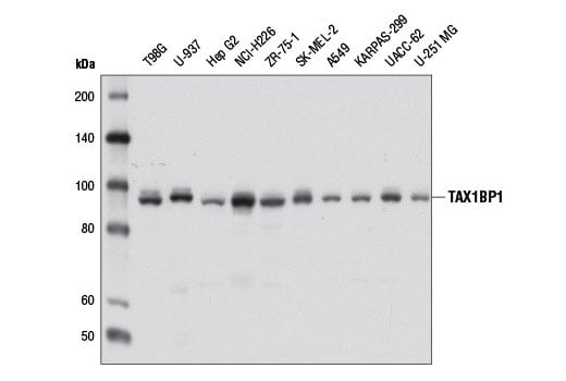
    TAX1BP1 (D1D5) Rabbit Monoclonal Antibody recognizes endogenous levels of total TAX1BP1 protein. Based upon sequence alignment, this antibody is predicted to cross-react with TXBP151-L and TXBP151-S isoforms.

    Species Reactivity:

    Human

    Source / Purification

    Monoclonal antibody is produced by immunizing animals with a synthetic peptide corresponding to residues near the carboxy terminus of human TAX1BP1 protein.

    Background

    Tax1-binding protein (TAX1BP) 1 is an essential regulator of innate immunity and was originally identified in a yeast two-hybrid screen as a human T-lymphotropic virus Type 1 (HTLV-1) Tax1-binding protein and named TXBP151 (1-3). Independently, TAX1BP1 was discovered in yeast two-hybrid screens that sought to identify novel binding partners of A20 (4) and TRAF6, where it was named T6BP (5). Two human TAX1BP1 transcripts encoding modular proteins of 747 and 789 amino acids have been identified (4). The N-terminal region of TAX1BP1 possesses a SKIP carboxyl homology (SKITCH) domain and a 14-3-3 binding motif. The central region of TAX1BP1 harbors coiled-coil structures and helix-loop-helix regions that are thought to promote the formation of TAX1BP1 homodimers (5). The TAX1BP1 C-terminal region posesses zinc finger domains that function as novel ubiquitin-binding domains and allow for complex formation with K63-ubiquitinated RIP1 and TRAF6 (6) as well as the E3 ubiquitin ligase ITCH (7). One of the major physiologic roles of TAX1BP1 is to serve as an essential component of a negative feedback loop aimed at restraining canonical NF-κB-mediated proinflammatory signaling cascades initiated by TNF and IL-1. It is likely that TAX1BP1 functions as a ubiquitin-binding adaptor protein that inducibly recruits A20 to a complex consisting, in part, of K63-ubiquitinated TRAF6, RIP1, and their cognate E2 conjugating enzyme, thus allowing for A20-mediated ubiquitin-editing and termination of NF-κB signaling (6,8,9). A recent report identified IKKα as a novel regulator of TAX1BP1 function and demonstrated that IKKα-dependent phosphorylation of TAX1BP1 at Ser593 and Ser624 in response to TNF and IL-1 is critical for its ability to orchestrate formation of the A20 ubiquitin-editing complex involved in termination of NF-κB signaling (10).

    Alternate Names

    CALCOCO3; T6BP; Tax1 (human T-cell leukemia virus type I) binding protein 1; Tax1 binding protein 1; Tax1-binding protein 1; TAX1BP1; TAXB1; TRAF6-binding protein; TXBP151

    For Research Use Only. Not for Use in Diagnostic Procedures.
    Cell Signaling Technology is a trademark of Cell Signaling Technology, Inc.
    All other trademarks are the property of their respective owners. Visit our Trademark Information page.