Cell Signaling Technology Logo - Extra Large
Trial Size Available Flag
Recombinant Flag
Recombinant: Superior lot-to-lot consistency, continuous supply, and animal-free manufacturing.

Toll-like Receptor 2 (E1J2W) Rabbit Monoclonal Antibody #13744

Filter:
  • WB

    Product Specifications

    REACTIVITY M
    SENSITIVITY Endogenous
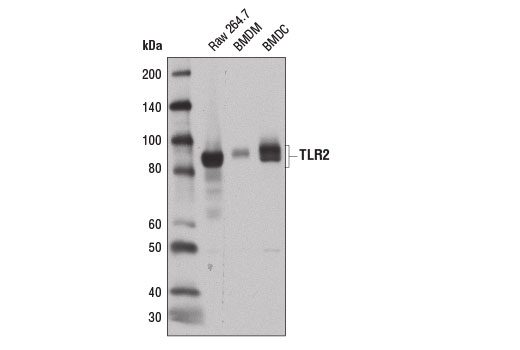
    MW (kDa) 85-100
    Source/Isotype Rabbit IgG
    Application Key:
    • WB-Western Blotting 
    Species Cross-Reactivity Key:
    • M-Mouse 

    Product Information

    Product Usage Information

    Application Dilution
    Western Blotting 1:1000

    Storage

    Supplied in 10 mM sodium HEPES (pH 7.5), 150 mM NaCl, 100 µg/ml BSA, 50% glycerol and less than 0.02% sodium azide. Store at –20°C. Do not aliquot the antibody.

    Protocol

    Specificity / Sensitivity

    Toll-like Receptor 2 (E1J2W) Rabbit Monoclonal Antibody recognizes endogenous levels of total TLR2 protein.

    Species Reactivity:

    Mouse

    Source / Purification

    Monoclonal antibody is produced by immunizing animals with a synthetic peptide corresponding to residues surrounding Pro243 of mouse TLR2 protein.

    Background

    Members of the Toll-like receptor (TLR) family, named for the closely related Toll receptor in Drosophila, play a pivotal role in innate immune responses (1-4). TLRs recognize conserved motifs found in various pathogens and mediate defense responses (5-7). Triggering of the TLR pathway leads to the activation of NF-κB and subsequent regulation of immune and inflammatory genes (4). The TLRs and members of the IL-1 receptor family share a conserved stretch of approximately 200 amino acids known as the Toll/Interleukin-1 receptor (TIR) domain (1). Upon activation, TLRs associate with a number of cytoplasmic adapter proteins containing TIR domains, including myeloid differentiation factor 88 (MyD88), MyD88-adapter-like/TIR-associated protein (MAL/TIRAP), TIR domain-containing adapter-inducing IFN-β (TRIF), and Toll-receptor-associated molecule (TRAM) (8-10). This association leads to the recruitment and activation of IRAK1 and IRAK4, which form a complex with TRAF6 to activate TAK1 and IKK (8,11-14). Activation of IKK leads to the degradation of IκB, which normally maintains NF-κB in an inactive state by sequestering it in the cytoplasm.

    Toll-like receptor 2 (TLR2) is expressed on the surface of monocytes and macrophages and can heterodimerize with TLR1 or TLR6, enabling responses to a variety of pathogen-associated molecular signals including lipopeptides and peptidoglycan (15-18).
    1. Akira, S. (2003) J Biol Chem 278, 38105-8.
    2. Beutler, B. (2004) Nature 430, 257-63.
    3. Dunne, A. and O'Neill, L.A. (2003) Sci STKE 2003, re3.
    4. Medzhitov, R. et al. (1997) Nature 388, 394-7.
    5. Schwandner, R. et al. (1999) J Biol Chem 274, 17406-9.
    6. Takeuchi, O. et al. (1999) Immunity 11, 443-51.
    7. Alexopoulou, L. et al. (2001) Nature 413, 732-8.
    8. Zhang, F.X. et al. (1999) J Biol Chem 274, 7611-4.
    9. Horng, T. et al. (2001) Nat Immunol 2, 835-41.
    10. Oshiumi, H. et al. (2003) Nat Immunol 4, 161-7.
    11. Muzio, M. et al. (1997) Science 278, 1612-5.
    12. Wesche, H. et al. (1997) Immunity 7, 837-47.
    13. Suzuki, N. et al. (2002) Nature 416, 750-6.
    14. Irie, T. et al. (2000) FEBS Lett 467, 160-4.
    15. Takeuchi, O. et al. (2002) J Immunol 169, 10-4.
    16. Schwandner, R. et al. (1999) J Biol Chem 274, 17406-9.
    17. Lien, E. et al. (1999) J Biol Chem 274, 33419-25.
    18. Ozinsky, A. et al. (2000) Proc Natl Acad Sci U S A 97, 13766-71.

    Alternate Names

    CD282; Ly10; Ly105; Tlr2; Toll-like receptor 2

    For Research Use Only. Not for Use in Diagnostic Procedures.
    Cell Signaling Technology is a trademark of Cell Signaling Technology, Inc.
    All other trademarks are the property of their respective owners. Visit our Trademark Information page.