Cell Signaling Technology Logo - Extra Large
Trial Size Available Flag
Recombinant Flag
Recombinant: Superior lot-to-lot consistency, continuous supply, and animal-free manufacturing.

Toll-like Receptor 9 (F4R3J) Rabbit Monoclonal Antibody #67887

Filter:
  • WB
  • IP

    Product Specifications

    REACTIVITY H M
    SENSITIVITY Endogenous
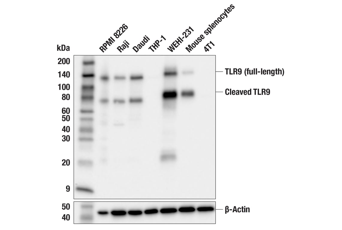
    MW (kDa) 130, 75
    Source/Isotype Rabbit IgG
    Application Key:
    • WB-Western Blotting 
    • IP-Immunoprecipitation 
    Species Cross-Reactivity Key:
    • H-Human 
    • M-Mouse 

    Product Information

    Product Usage Information

    Application Dilution
    Western Blotting 1:1000
    Immunoprecipitation 1:50

    Storage

    Supplied in 10 mM sodium HEPES (pH 7.5), 150 mM NaCl, 100 µg/mL BSA, 50% glycerol, and less than 0.02% sodium azide. Store at –20°C. Do not aliquot the antibody.

    Protocol

    Specificity / Sensitivity

    Toll-like Receptor 9 (F4R3J) Rabbit Monoclonal Antibody recognizes endogenous levels of total TLR9 protein and the 75 kDa proteolytically cleaved form of TLR9.

    Species Reactivity:

    Human, Mouse

    Source / Purification

    Monoclonal antibody is produced by immunizing animals with a synthetic peptide corresponding to residues near the carboxy terminus of mouse TLR9 protein.

    Background

    Members of the Toll-like receptor (TLR) family, named for the closely related Toll receptor in Drosophila, play a pivotal role in innate immune responses (1-4). TLRs recognize conserved motifs found in various pathogens and mediate defense responses (5-7). Triggering of the TLR pathway leads to the activation of NF-κB and subsequent regulation of immune and inflammatory genes (4). The TLRs and members of the IL-1 receptor family share a conserved stretch of approximately 200 amino acids known as the Toll/Interleukin-1 receptor (TIR) domain (1). Upon activation, TLRs associate with a number of cytoplasmic adapter proteins containing TIR domains, including myeloid differentiation factor 88 (MyD88), MyD88-adapter-like/TIR-associated protein (MAL/TIRAP), TIR domain-containing adapter-inducing IFN-β (TRIF), and Toll-receptor-associated molecule (TRAM) (8-10). This association leads to the recruitment and activation of IRAK1 and IRAK4, which form a complex with TRAF6 to activate TAK1 and IKK (8,11-14). Activation of IKK leads to the degradation of IκB, which normally maintains NF-κB in an inactive state by sequestering it in the cytoplasm.

    TLR9 is highly expressed in macrophages, dendritic cells, and B lymphocytes; additionally, alternative splicing generates five isoforms in humans (15,16). TLR9 binds to unmethylated CpG motifs present on bacterial DNA and stimulates NF-κB via the MyD88 adaptor protein (17-19). In contrast to most TLR family members that are localized to the plasma membrane, TLR9 is an intracellular receptor localized to the ER in resting cells (20). Upon binding to CpG DNA, TLR9 undergoes proteolytic processing and translocates to endo-lysosomal compartments, where it binds to MyD88, initiating downstream signaling (21-23).
    1. Akira, S. (2003) J Biol Chem 278, 38105-8.
    2. Beutler, B. (2004) Nature 430, 257-63.
    3. Dunne, A. and O'Neill, L.A. (2003) Sci STKE 2003, re3.
    4. Medzhitov, R. et al. (1997) Nature 388, 394-7.
    5. Schwandner, R. et al. (1999) J Biol Chem 274, 17406-9.
    6. Takeuchi, O. et al. (1999) Immunity 11, 443-51.
    7. Alexopoulou, L. et al. (2001) Nature 413, 732-8.
    8. Zhang, F.X. et al. (1999) J Biol Chem 274, 7611-4.
    9. Horng, T. et al. (2001) Nat Immunol 2, 835-41.
    10. Oshiumi, H. et al. (2003) Nat Immunol 4, 161-7.
    11. Muzio, M. et al. (1997) Science 278, 1612-5.
    12. Wesche, H. et al. (1997) Immunity 7, 837-47.
    13. Suzuki, N. et al. (2002) Nature 416, 750-6.
    14. Irie, T. et al. (2000) FEBS Lett 467, 160-4.
    15. Du, X. et al. (2000) Eur Cytokine Netw 11, 362-71.
    16. Chuang, T.H. and Ulevitch, R.J. (2000) Eur Cytokine Netw 11, 372-8.
    17. Hemmi, H. et al. (2000) Nature 408, 740-5.
    18. Bauer, S. et al. (2001) Proc Natl Acad Sci USA 98, 9237-42.
    19. Takeshita, F. et al. (2001) J Immunol 167, 3555-8.
    20. Latz, E. et al. (2004) Nat Immunol 5, 190-8.
    21. Park, B. et al. (2008) Nat Immunol 9, 1407-14.
    22. Ewald, S.E. et al. (2008) Nature 456, 658-62.
    23. Sepulveda, F.E. et al. (2009) Immunity 31, 737-48.

    Alternate Names

    CD289; Tlr9; Toll-like receptor 9

    For Research Use Only. Not for Use in Diagnostic Procedures.
    Cell Signaling Technology is a trademark of Cell Signaling Technology, Inc.
    All other trademarks are the property of their respective owners. Visit our Trademark Information page.