Cell Signaling Technology Logo - Extra Large
Recombinant Flag
Recombinant: Superior lot-to-lot consistency, continuous supply, and animal-free manufacturing.

Tom20 (D8T4N) Rabbit Monoclonal Antibody (BSA and Azide Free) #66401

Filter:
  • WB
  • IHC
  • IF

    Product Specifications

    REACTIVITY H M R Mk
    SENSITIVITY Endogenous
    MW (kDa) 16
    Source/Isotype Rabbit IgG
    Application Key:
    • WB-Western Blotting 
    • IHC-Immunohistochemistry 
    • IF-Immunofluorescence 
    Species Cross-Reactivity Key:
    • H-Human 
    • M-Mouse 
    • R-Rat 
    • Mk-Monkey 

    Product Information

    Product Usage Information

    This product is the carrier free version of product #42406. All data were generated using the same antibody clone in the standard formulation which contains BSA and glycerol.

    This formulation is ideal for use with technologies requiring specialized or custom antibody labeling, including fluorophores, metals, lanthanides, and oligonucleotides. It is not recommended for ChIP, ChIP-seq, CUT&RUN or CUT&Tag assays. If you require a carrier free formulation for chromatin profiling, please contact us. Optimal dilutions/concentrations should be determined by the end user.

    BSA and Azide Free antibodies are quality control tested by size exclusion chromatography (SEC) to determine antibody integrity.

    Formulation

    Supplied in 1X PBS (10 mM Na2HPO4, 3 mM KCl, 2 mM KH2PO4, and 140 mM NaCl (pH 7.8)). BSA and Azide Free.

    For standard formulation of this product see product #42406

    Storage

    Store at -20°C. This product will freeze at -20°C so it is recommended to aliquot into single-use vials to avoid multiple freeze/thaw cycles. A slight precipitate may be present and can be dissolved by gently vortexing. This will not interfere with antibody performance.

    Specificity / Sensitivity

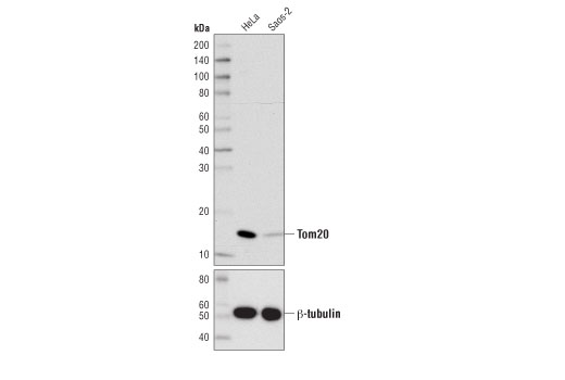
    Tom20 (D8T4N) Rabbit Monoclonal Antibody (BSA and Azide Free) recognizes endogenous levels of total Tom20 protein. This antibody does not have detectable signal by indirect fluorescent detection in frozen mouse tissue.

    Species Reactivity:

    Human, Mouse, Rat, Monkey

    Source / Purification

    Monoclonal antibody is produced by immunizing animals with a synthetic peptide corresponding to residues near the amino terminus of human Tom20 protein.

    Background

    Mitochondria play a central role in cellular energy metabolism and are essential organelles in eukaryotes. In humans, 13 proteins are encoded by the mitochondrial genome while the vast majority of mitochondrial proteins are encoded by the nuclear genome. As a result, most mitochondrial proteins are synthesized as precursors in the cytoplasm and imported across mitochondrial membranes by one or more translocase protein complexes (1). The translocase of the outer mitochondrial membrane (TOM complex) facilitates the import of proteins through the outer mitochondrial membrane, while the complementary translocase of the inner membrane (TIM complex) is responsible for protein transport to the mitochondrial matrix. The TOM complex consists of the receptors TOM20, TOM22, TOM70, and the channel-forming protein TOM40 (1). TOM20 is localized in the outer mitochondrial membrane and initially recognizes precursors with a presequence to facilitate protein import across the outer mitochondrial membrane (2). In a sequential process, recognition of the presequence by TOM20 is followed by tethering of the presequence to the TOM40 protein complex for efficient protein import (3).

    Alternate Names

    KIAA0016; MAS20; MGC117367; Mitochondrial 20 kDa outer membrane protein; Mitochondrial import receptor subunit TOM20 homolog; MOM19; Outer mitochondrial membrane receptor Tom20; TOM20; TOMM20; translocase of outer mitochondrial membrane 20; translocase of outer mitochondrial membrane 20 homolog (yeast); translocase of outer mitochondrial membrane 20 homolog type II

    For Research Use Only. Not for Use in Diagnostic Procedures.
    Cell Signaling Technology is a trademark of Cell Signaling Technology, Inc.
    All other trademarks are the property of their respective owners. Visit our Trademark Information page.