TRAF5 (D3E2R) Rabbit Monoclonal Antibody #41658
- WB
Product Specifications
| REACTIVITY | H |
| SENSITIVITY | Endogenous |
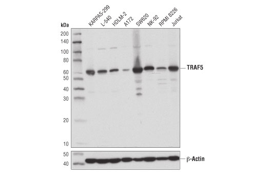
| MW (kDa) | 64 |
| Source/Isotype | Rabbit IgG |
Application Key:
- WB-Western Blotting
Species Cross-Reactivity Key:
- H-Human
Product Information
Product Usage Information
| Application | Dilution |
|---|---|
| Western Blotting | 1:1000 |
Storage
Protocol
Specificity / Sensitivity
Species Reactivity:
Source / Purification
Background
TRAF5 regulates signaling through binding to the cytoplasmic domains of TNFR family members including CD40, CD27, CD30, OX40, and lymphotoxin-β receptor (5-10). Overexpression of TRAF5 induces NF-κB activation. Cytoplasmic aggregates of TRAF5, as well as TRAF2, were reported in Hodgkin-Reed-Sternberg cells, resulting in constitutive NF-κB activation (11).
Studies of TRAF5-deficient mice suggest that it plays an important role in limiting Th2 immune responses that trigger T-cell-mediated inflammatory diseases and asthma (12). Further studies indicate that TRAF5 binds to the IL-6 receptor gp130 and negatively controls Th17 differentation (13). In B-cells, TRAF5 negatively regulates toll-like receptor (TLR) mediated cytokine and antibody production (14).
- Arch, R.H. et al. (1998) Genes Dev 12, 2821-30.
- Chung, J.Y. et al. (2002) J Cell Sci 115, 679-88.
- Bradley, J.R. and Pober, J.S. (2001) Oncogene 20, 6482-91.
- Rothe, M. et al. (1994) Cell 78, 681-92.
- Nakano, H. et al. (1996) J Biol Chem 271, 14661-4.
- Ishida, T.K. et al. (1996) Proc Natl Acad Sci U S A 93, 9437-42.
- Aizawa, S. et al. (1997) J Biol Chem 272, 2042-5.
- Mizushima, S. et al. (1998) Gene 207, 135-40.
- Kawamata, S. et al. (1998) J Biol Chem 273, 5808-14.
- Nakano, H. et al. (1999) Proc Natl Acad Sci U S A 96, 9803-8.
- Horie, R. et al. (2002) Am J Pathol 160, 1647-54.
- So, T. et al. (2004) J Immunol 172, 4292-7.
- Nagashima, H. et al. (2014) Nat Immunol 15, 449-56.
- Buchta, C.M. and Bishop, G.A. (2014) J Immunol 192, 145-50.
Alternate Names
MGC:39780; RING finger protein 84; RNF84; TNF receptor associated factor 5; TNF receptor-associated factor 5; TRAF5
Limited Uses
Except as otherwise expressly agreed in a writing signed by a legally authorized representative of CST, the following terms apply to Products provided by CST, its affiliates or its distributors. Any Customer's terms and conditions that are in addition to, or different from, those contained herein, unless separately accepted in writing by a legally authorized representative of CST, are rejected and are of no force or effect.
Products are labeled with For Research Use Only or a similar labeling statement and have not been approved, cleared, or licensed by the FDA or other regulatory foreign or domestic entity, for any purpose. Customer shall not use any Product for any diagnostic or therapeutic purpose, or otherwise in any manner that conflicts with its labeling statement. Products sold or licensed by CST are provided for Customer as the end-user and solely for research and development uses. Any use of Product for diagnostic, prophylactic or therapeutic purposes, or any purchase of Product for resale (alone or as a component) or other commercial purpose, requires a separate license from CST. Customer shall (a) not sell, license, loan, donate or otherwise transfer or make available any Product to any third party, whether alone or in combination with other materials, or use the Products to manufacture any commercial products, (b) not copy, modify, reverse engineer, decompile, disassemble or otherwise attempt to discover the underlying structure or technology of the Products, or use the Products for the purpose of developing any products or services that would compete with CST products or services, (c) not alter or remove from the Products any trademarks, trade names, logos, patent or copyright notices or markings, (d) use the Products solely in accordance with CST Product Terms of Sale and any applicable documentation, and (e) comply with any license, terms of service or similar agreement with respect to any third party products or services used by Customer in connection with the Products.