Cell Signaling Technology Logo - Extra Large
Trial Size Available Flag
Recombinant Flag
Recombinant: Superior lot-to-lot consistency, continuous supply, and animal-free manufacturing.

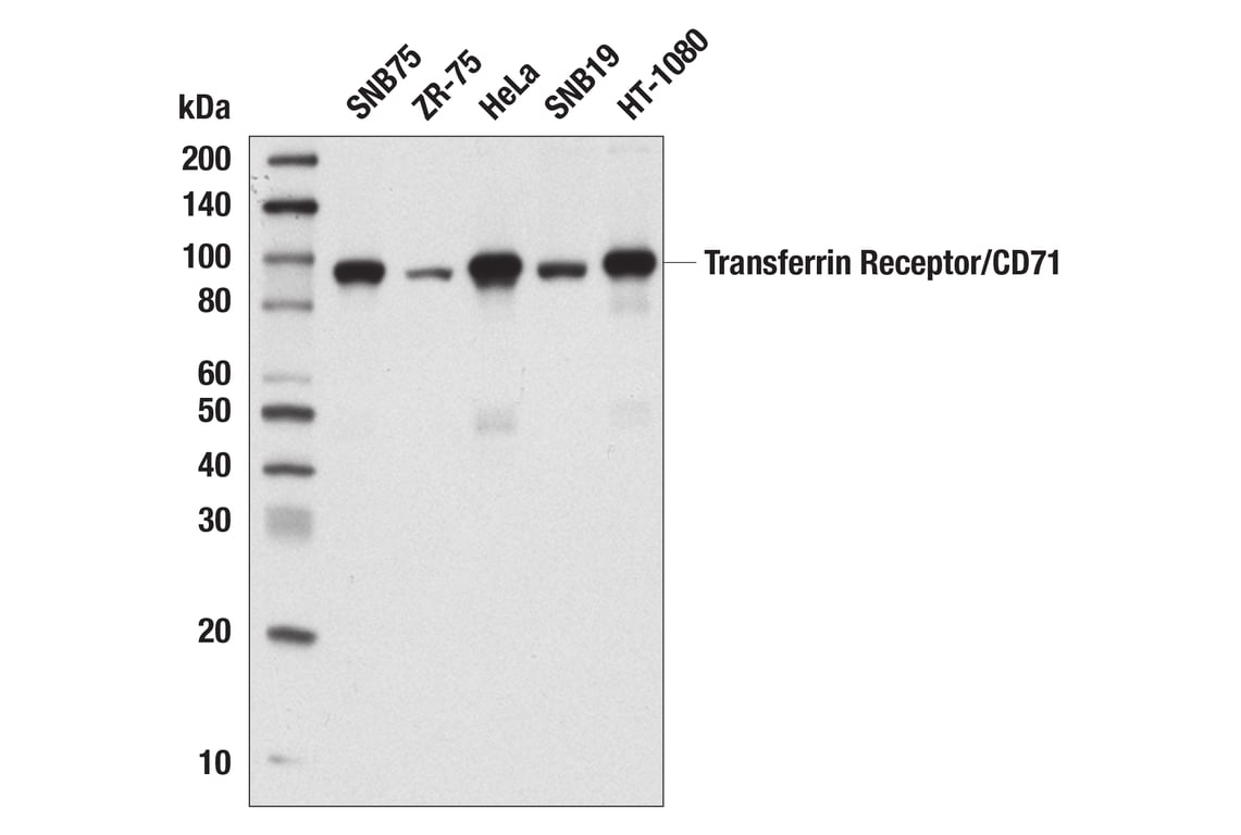
Transferrin Receptor/CD71 (D7G9X) Rabbit Monoclonal Antibody #13113

Filter:
  • WB
  • IP
  • IF
  • F

    Product Specifications

    REACTIVITY H
    SENSITIVITY Endogenous
    MW (kDa) 90
    Source/Isotype Rabbit IgG
    Application Key:
    • WB-Western Blotting 
    • IP-Immunoprecipitation 
    • IF-Immunofluorescence 
    • F-Flow Cytometry 
    Species Cross-Reactivity Key:
    • H-Human 

    Product Information

    Product Usage Information

    Application Dilution
    Western Blotting 1:1000
    Immunoprecipitation 1:100
    Immunofluorescence (Immunocytochemistry) 1:50 - 1:200
    Flow Cytometry (Fixed/Permeabilized) 1:100 - 1:400

    Storage

    Supplied in 10 mM sodium HEPES (pH 7.5), 150 mM NaCl, 100 µg/ml BSA, 50% glycerol and less than 0.02% sodium azide. Store at –20°C. Do not aliquot the antibody.

    For a carrier free (BSA and azide free) version of this product see product #51675.

    Protocol

    Specificity / Sensitivity

    Transferrin Receptor/CD71 (D7G9X) Rabbit Monoclonal Antibody recognizes endogenous levels of total Transferrin Receptor/CD71 protein.

    Species Reactivity:

    Human

    Source / Purification

    Monoclonal antibody is produced by immunizing animals with a synthetic peptide corresponding to residues surrounding Leu146 of human Transferrin Receptor/CD71 protein.

    Background

    Transferrin receptor 1 (CD71, TFRC) is a type II transmembrane receptor and carrier protein responsible for the uptake of cellular iron through receptor-mediated endocytosis (1). Neutral pH at the cell surface promotes binding of the iron-binding glycoprotein transferrin (Tf) to the CD71 receptor. The receptor-ligand complex enters the cell through receptor-mediated endocytosis and is internalized into an endosome. Relatively lower endosomal pH leads to a change in the local charge environment surrounding the iron-transferrin binding site and results in the release of iron (2). The receptor-ligand complex is recycled to the cell surface where transferrin dissociates from the CD71 receptor (2). Ubiquitously expressed transferrin receptor is continuously recycled and undergoes clathrin-mediated endocytosis regardless of ligand binding state. The interaction between receptor and ligand has been studied in detail. The helical domain of CD71 directly interacts with the transferrin C-lobe and induces a conformation change in Tf to facilitate the transport process (3). Interaction between the receptor CD71 and transferrin is mediated by the membrane protein hemochromatosis (HFE). HFE binds the α-helical domain of CD71, blocking formation of the CD71-transferrin complex and inhibiting iron uptake (4,5). In addition to binding transferrin, CD71 also interacts with H-ferritin at the cell surface and transports this intracellular iron storage protein to cellular endosomes and lysosomes (6). Additional studies indicate that the transferrin receptor is an evolutionarily conserved receptor for a number of arenaviruses and at least one retrovirus (7,8). Aberrant expression of CD71 is seen in a number of cancers, including thyroid carcinomas, lymphomas, and T-lineage leukemias, suggesting a possible therapeutic role for targeted inhibition of the transferrin receptor (9,10).

    Alternate Names

    CD71; IMD46; p90; sTfR; T9; TfR; TfR1; TFRC; TR; transferrin receptor; transferrin receptor (p90, CD71); Transferrin receptor protein 1; Transferrin receptor protein 1, serum form; Trfr

    For Research Use Only. Not for Use in Diagnostic Procedures.
    Cell Signaling Technology is a trademark of Cell Signaling Technology, Inc.
    All other trademarks are the property of their respective owners. Visit our Trademark Information page.