Cell Signaling Technology Logo - Extra Large
Trial Size Available Flag
Recombinant Flag
Recombinant: Superior lot-to-lot consistency, continuous supply, and animal-free manufacturing.

Tri-Methyl-Histone H3 (Lys79) (E8B3M) Rabbit Monoclonal Antibody #74073

Filter:
  • WB
  • ChIP

    Product Specifications

    REACTIVITY H M R Mk
    SENSITIVITY Endogenous
    MW (kDa) 17
    Source/Isotype Rabbit IgG
    Application Key:
    • WB-Western Blotting 
    • ChIP-Chromatin Immunoprecipitation 
    Species Cross-Reactivity Key:
    • H-Human 
    • M-Mouse 
    • R-Rat 
    • Mk-Monkey 

    Product Information

    Product Usage Information

    For optimal ChIP and ChIP-seq results, use 10 μl of antibody and 10 μg of chromatin (approximately 4 × 10^6 cells) per IP. This antibody has been validated using SimpleChIP® Enzymatic Chromatin IP Kits.
    Application Dilution
    Western Blotting 1:1000
    Chromatin IP 1:50
    Chromatin IP-seq 1:50

    Storage

    Supplied in 10 mM sodium HEPES (pH 7.5), 150 mM NaCl, 100 µg/ml BSA, 50% glycerol and less than 0.02% sodium azide. Store at –20°C. Do not aliquot the antibody.

    Protocol

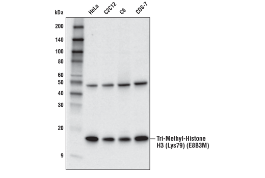
    Specificity / Sensitivity

    Tri-Methyl-Histone H3 (Lys79) (E8B3M) Rabbit Monoclonal Antibody recognizes endogenous levels of histone H3 protein when tri-methylated at Lys79. This antibody shows some cross-reactivity to histone H3 that is di-methylated on Lys79, but does not cross-react with non-methylated or mono-methylated histone H3 Lys79. This antibody does not cross-react with histone H3 methylated at Lys4, Lys9, Lys27, or Lys36, and does not cross-react with any other methylated histone proteins.

    Species Reactivity:

    Human, Mouse, Rat, Monkey

    Source / Purification

    Monoclonal antibody is produced by immunizing animals with a synthetic peptide containing histone H3 tri-methyl lysine 79.

    Background

    The nucleosome, made up of four core histone proteins (H2A, H2B, H3, and H4), is the primary building block of chromatin. Originally thought to function as a static scaffold for DNA packaging, histones have now been shown to be dynamic proteins, undergoing multiple types of post-translational modifications, including acetylation, phosphorylation, methylation, and ubiquitination (1). Histone methylation is a major determinant for the formation of active and inactive regions of the genome and is crucial for the proper programming of the genome during development (2,3). Arginine methylation of histones H3 (Arg2, 17, 26) and H4 (Arg3) promotes transcriptional activation and is mediated by a family of protein arginine methyltransferases (PRMTs), including the co-activators PRMT1 and CARM1 (PRMT4) (4). In contrast, a more diverse set of histone lysine methyltransferases has been identified, all but one of which contain a conserved catalytic SET domain originally identified in the Drosophila Su(var)3-9, Enhancer of zeste, and Trithorax proteins. Lysine methylation occurs primarily on histones H3 (Lys4, 9, 27, 36, 79) and H4 (Lys20) and has been implicated in both transcriptional activation and silencing (4). Methylation of these lysine residues coordinates the recruitment of chromatin modifying enzymes containing methyl-lysine binding modules such as chromodomains (HP1, PRC1), PHD fingers (BPTF, ING2), tudor domains (53BP1), and WD-40 domains (WDR5) (5-8). The discovery of histone demethylases, such as PADI4, LSD1, JMJD1, JMJD2, and JHDM1, has shown that methylation is a reversible epigenetic marker (9).

    Alternate Names

    H3; H3 clustered histone 1; H3 histone family, member A; H3/A; H31; H3C1; H3C10; H3C11; H3C12; H3C2; H3C3; H3C4; H3C6; H3C7; H3C8; H3FA; H3FB; H3FC; H3FC HIST1H3C; H3FD; H3FF; H3FH; H3FI; H3FJ; H3FK; H3FL; HIST1H3A; HIST1H3B; HIST1H3C; HIST1H3D; HIST1H3E; HIST1H3F; HIST1H3G; HIST1H3H; HIST1H3I; HIST1H3J; histone 1, H3a; histone cluster 1 H3 family member a; histone cluster 1, H3a; Histone H3; Histone H3.1; Histone H3/a; Histone H3/b; Histone H3/c; Histone H3/d; Histone H3/f; Histone H3/h; Histone H3/i; Histone H3/j; Histone H3/k; Histone H3/l

    For Research Use Only. Not for Use in Diagnostic Procedures.
    Cell Signaling Technology is a trademark of Cell Signaling Technology, Inc.
    CST is a registered trademark of Cell Signaling Technology, Inc.
    SimpleChIP is a registered trademark of Cell Signaling Technology, Inc.
    All other trademarks are the property of their respective owners. Visit our Trademark Information page.