Render Target: STATIC
Render Timestamp:
5/25/2026, 6:44:48 AM EDT
5/25/2026, 10:44:48 AM UTC
Commit: 7ed46ecc04b401f23a28df741b5078df405d23e4
XML generation date: 2025-11-13 17:59:12.120
Product last modified at: 2025-11-14T08:10:44.345Z
Cell Signaling Technology Logo - Extra Large
1% for the planet logo
PDP - Template Name: Polyclonal Antibody
PDP - Template ID: *******59c6464

Tri-Methyl-Histone H3 (Lys9) Antibody #9754

Filter:
  • WB
  • IF
  • ChIP

Inquiry Info. # 9754

Please see our recommended alternatives.

    Product Specifications

    REACTIVITY H M R Mk
    SENSITIVITY Endogenous
    MW (kDa) 17
    SOURCE Rabbit
    Application Key:
    • WB-Western Blotting 
    • IF-Immunofluorescence 
    • ChIP-Chromatin Immunoprecipitation 
    Species Cross-Reactivity Key:
    • H-Human 
    • M-Mouse 
    • R-Rat 
    • Mk-Monkey 

    Product Information

    Product Usage Information

    Application Dilution
    Western Blotting 1:1000
    Immunofluorescence (Immunocytochemistry) 1:800
    Chromatin IP 1:25

    Storage

    Supplied in 10 mM sodium HEPES (pH 7.5), 150 mM NaCl, 100 µg/ml BSA and 50% glycerol. Store at –20°C. Do not aliquot the antibody.

    Protocol

    Specificity / Sensitivity

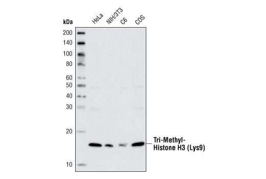
    Tri-Methyl-Histone H3 (Lys9) Antibody detects endogenous levels of histone H3 only when tri-methylated on Lys9. This antibody does not cross-react with non-methylated, mono-methylated, or di-methylated Lys9. In addition, this antibody does not cross-react with non-methylated, mono-methylated, di-methylated or tri-methylated histone H3 Lys4, Lys27, Lys36 or histone H4 Lys20.

    Species Reactivity:

    Human, Mouse, Rat, Monkey

    The antigen sequence used to produce this antibody shares 100% sequence homology with the species listed here, but reactivity has not been tested or confirmed to work by CST. Use of this product with these species is not covered under our Product Performance Guarantee.

    Species predicted to react based on 100% sequence homology:

    D. melanogaster, Pig, Horse

    Source / Purification

    Polyclonal antibodies are produced by immunizing animals with a synthetic peptide corresponding to the amino terminus of histone H3 in which Lys9 is tri-methylated. Antibodies are purified by protein A and peptide affinity chromatography.

    Background

    The nucleosome, made up of four core histone proteins (H2A, H2B, H3, and H4), is the primary building block of chromatin. Originally thought to function as a static scaffold for DNA packaging, histones have now been shown to be dynamic proteins, undergoing multiple types of post-translational modifications, including acetylation, phosphorylation, methylation, and ubiquitination (1). Histone methylation is a major determinant for the formation of active and inactive regions of the genome and is crucial for the proper programming of the genome during development (2,3). Arginine methylation of histones H3 (Arg2, 17, 26) and H4 (Arg3) promotes transcriptional activation and is mediated by a family of protein arginine methyltransferases (PRMTs), including the co-activators PRMT1 and CARM1 (PRMT4) (4). In contrast, a more diverse set of histone lysine methyltransferases has been identified, all but one of which contain a conserved catalytic SET domain originally identified in the Drosophila Su(var)3-9, Enhancer of zeste, and Trithorax proteins. Lysine methylation occurs primarily on histones H3 (Lys4, 9, 27, 36, 79) and H4 (Lys20) and has been implicated in both transcriptional activation and silencing (4). Methylation of these lysine residues coordinates the recruitment of chromatin modifying enzymes containing methyl-lysine binding modules such as chromodomains (HP1, PRC1), PHD fingers (BPTF, ING2), tudor domains (53BP1), and WD-40 domains (WDR5) (5-8). The discovery of histone demethylases, such as PADI4, LSD1, JMJD1, JMJD2, and JHDM1, has shown that methylation is a reversible epigenetic marker (9).t

    Alternate Names

    H3; H3 clustered histone 1; H3 histone family, member A; H3/A; H31; H3C1; H3C10; H3C11; H3C12; H3C2; H3C3; H3C4; H3C6; H3C7; H3C8; H3FA; H3FB; H3FC; H3FC HIST1H3C; H3FD; H3FF; H3FH; H3FI; H3FJ; H3FK; H3FL; HIST1H3A; HIST1H3B; HIST1H3C; HIST1H3D; HIST1H3E; HIST1H3F; HIST1H3G; HIST1H3H; HIST1H3I; HIST1H3J; histone 1, H3a; histone cluster 1 H3 family member a; histone cluster 1, H3a; Histone H3; Histone H3.1; Histone H3/a; Histone H3/b; Histone H3/c; Histone H3/d; Histone H3/f; Histone H3/h; Histone H3/i; Histone H3/j; Histone H3/k; Histone H3/l

    For Research Use Only. Not for Use in Diagnostic Procedures.
    Cell Signaling Technology is a trademark of Cell Signaling Technology, Inc.
    All other trademarks are the property of their respective owners. Visit our Trademark Information page.