Cell Signaling Technology Logo - Extra Large
Recombinant Flag
Recombinant: Superior lot-to-lot consistency, continuous supply, and animal-free manufacturing.

TrkC (C44H5) Rabbit Monoclonal Antibody (BSA and Azide Free) #92447

Filter:
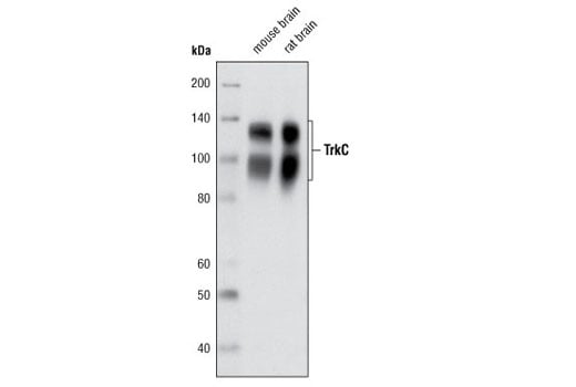
  • WB
  • IHC
  • IF

    Product Specifications

    REACTIVITY H M R
    SENSITIVITY Endogenous
    MW (kDa) 145, 100
    Source/Isotype Rabbit IgG
    Application Key:
    • WB-Western Blotting 
    • IHC-Immunohistochemistry 
    • IF-Immunofluorescence 
    Species Cross-Reactivity Key:
    • H-Human 
    • M-Mouse 
    • R-Rat 

    Product Information

    Product Usage Information

    This product is the carrier free version of product #3376. All data were generated using the same antibody clone in the standard formulation which contains BSA and glycerol.

    This formulation is ideal for use with technologies requiring specialized or custom antibody labeling, including fluorophores, metals, lanthanides, and oligonucleotides. It is not recommended for ChIP, ChIP-seq, CUT&RUN or CUT&Tag assays. If you require a carrier free formulation for chromatin profiling, please contact us. Optimal dilutions/concentrations should be determined by the end user.

    BSA and Azide Free antibodies are quality control tested by size exclusion chromatography (SEC) to determine antibody integrity.

    Formulation

    Supplied in 1X PBS (10 mM Na2HPO4, 3 mM KCl, 2 mM KH2PO4, and 140 mM NaCl (pH 7.8)). BSA and Azide Free.

    For standard formulation of this product see product #3376

    Storage

    Store at -20°C. This product will freeze at -20°C so it is recommended to aliquot into single-use vials to avoid multiple freeze/thaw cycles. A slight precipitate may be present and can be dissolved by gently vortexing. This will not interfere with antibody performance.

    Specificity / Sensitivity

    TrkC (C44H5) Rabbit Monoclonal Antibody (BSA and Azide Free) detects endogenous levels of total TrkC protein. This antibody does not cross-react with TrkA or TrkB.

    Species Reactivity:

    Human, Mouse, Rat

    Source / Purification

    Monoclonal antibody is produced by immunizing animals with a synthetic peptide surrounding Gly50 of human TrkC.

    Background

    The family of Trk receptor tyrosine kinases consists of TrkA, TrkB, and TrkC. While the sequence of these family members is highly conserved, they are activated by different neurotrophins: TrkA by NGF, TrkB by BDNF or NT4, and TrkC by NT3 (1). Neurotrophin signaling through these receptors regulates a number of physiological processes, such as cell survival, proliferation, neural development, and axon and dendrite growth and patterning (1). In the adult nervous system, the Trk receptors regulate synaptic strength and plasticity. TrkA regulates proliferation and is important for development and maturation of the nervous system (2). Phosphorylation at Tyr490 is required for Shc association and activation of the Ras-MAP kinase cascade (3,4). Residues Tyr674/675 lie within the catalytic domain, and phosphorylation at these sites reflects TrkA kinase activity (3-6). Point mutations, deletions, and chromosomal rearrangements (chimeras) cause ligand-independent receptor dimerization and activation of TrkA (7-10). TrkA is activated in many malignancies including breast, ovarian, prostate, and thyroid carcinomas (8-13). Research studies suggest that expression of TrkA in neuroblastomas may be a good prognostic marker as TrkA signals growth arrest and differentiation of cells originating from the neural crest (10).
    The phosphorylation sites are conserved between TrkA and TrkC: Tyr490 of TrkA corresponds to Tyr516 in TrkC, and Tyr674/675 of TrkA to Tyr709/710 in TrkC of the human sequence (14). Research studies have demonstrated altered TrkC expression and corresponding gene mutations in various forms of cancer, with increased expression as a potential positive prognostic indicator in patients with medulloblastoma (15).
    1. Huang, E.J. and Reichardt, L.F. (2003) Annu Rev Biochem 72, 609-42.
    2. Segal, R.A. and Greenberg, M.E. (1996) Annu Rev Neurosci 19, 463-89.
    3. Stephens, R.M. et al. (1994) Neuron 12, 691-705.
    4. Marsh, H.N. et al. (2003) J Cell Biol 163, 999-1010.
    5. Obermeier, A. et al. (1993) EMBO J 12, 933-41.
    6. Obermeier, A. et al. (1994) EMBO J 13, 1585-90.
    7. Arevalo, J.C. et al. (2001) Oncogene 20, 1229-34.
    8. Reuther, G.W. et al. (2000) Mol Cell Biol 20, 8655-66.
    9. Greco, A. et al. (1997) Genes Chromosomes Cancer 19, 112-23.
    10. Pierotti, M.A. and Greco, A. (2006) Cancer Lett 232, 90-8.
    11. Lagadec, C. et al. (2009) Oncogene 28, 1960-70.
    12. Greco, A. et al. (2010) Mol Cell Endocrinol 321, 44-9.
    13. Ødegaard, E. et al. (2007) Hum Pathol 38, 140-6.
    14. Huang, E.J. and Reichardt, L.F. (2003) Annu Rev Biochem 72, 609-42.
    15. Segal, R.A. et al. (1994) Proc Natl Acad Sci U S A 91, 12867-71.

    Alternate Names

    ETS related protein-neurotrophic receptor tyrosine kinase fusion protein; ETV6-NTRK3 fusion; ETV6-NTRK3 fusion partner; GP145-TrkC; gp145(trkC); neurotrophic receptor tyrosine kinase 3; Neurotrophic tyrosine kinase receptor type 3; neurotrophic tyrosine kinase, receptor, type 3; neurotrophin 3 receptor; NT-3 growth factor receptor; NTRK3; Trk-C; TRKC; TrkC tyrosine kinase; tyrosine kinase receptor C

    For Research Use Only. Not for Use in Diagnostic Procedures.
    Cell Signaling Technology is a trademark of Cell Signaling Technology, Inc.
    U.S. Patent No. 7,429,487, foreign equivalents, and child patents deriving therefrom.
    All other trademarks are the property of their respective owners. Visit our Trademark Information page.