Render Target: STATIC
Render Timestamp:
5/25/2026, 7:38:51 AM EDT
5/25/2026, 11:38:51 AM UTC
Commit: 7ed46ecc04b401f23a28df741b5078df405d23e4
XML generation date: 2025-11-13 18:05:56.996
Product last modified at: 2026-03-20T08:02:29.378Z
Cell Signaling Technology Logo - Extra Large
1% for the planet logo
PDP - Template Name: Polyclonal Antibody
PDP - Template ID: *******59c6464

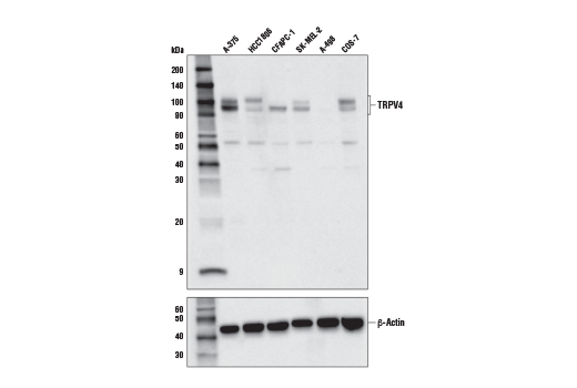
TRPV4 Antibody #65893

Filter:
  • WB
  • IP

    Product Specifications

    REACTIVITY H M Mk
    SENSITIVITY Endogenous
    MW (kDa) 95-102
    SOURCE Rabbit
    Application Key:
    • WB-Western Blotting 
    • IP-Immunoprecipitation 
    Species Cross-Reactivity Key:
    • H-Human 
    • M-Mouse 
    • Mk-Monkey 

    Product Information

    Product Usage Information

    Application Dilution
    Western Blotting 1:1000
    Immunoprecipitation 1:50

    Storage

    Supplied in 10 mM sodium HEPES (pH 7.5), 150 mM NaCl, 100 µg/ml BSA and 50% glycerol. Store at –20°C. Do not aliquot the antibody.

    Protocol

    Specificity / Sensitivity

    TRPV4 Antibody recognizes endogenous levels of total TRPV4 protein. This antibody is predicted to detect all isoforms of TRPV4 reported in Uniprot, with the exception of TRPV4-SV (Isoform 3).

    Species Reactivity:

    Human, Mouse, Monkey

    Source / Purification

    Polyclonal antibodies are produced by immunizing animals with a synthetic peptide corresponding to residues near the carboxy terminus of human TRPV4 protein. Antibodies are purified by protein A and peptide affinity chromatography.

    Background

    TRPV4 is a member of the transient receptor potential vanilloid (TRPV) family of ion channels, and functions as a Ca2+-permeant non-selective cation channel. TRPV4 channels are expressed in many cell types, with particular abundance in sensory and spinal neurons (1). TRPV4 channels play a role in maintaining cellular homeostasis, by facilitating transmembrane Ca2+ transport in response to various stimuli, including thermal stress, fatty acid metabolites, and hypotonicity (2). Mutations in the TRPV4 gene have consequently been attributed to a variety of pathological conditions. For example, constitutively active TRPV4 mutants can lead to excess Ca2+ influx, resulting in toxicity and degeneration of peripheral nerves (3). TRPV4-dependent Ca2+ influx was also shown to mediate strain-induced and TGFβ1-induced epithelial-mesenchymal transition (EMT), suggesting a mechanistic role for TRPV4-mediated Ca2+ transport in fibrosis and oncogenesis (4). Consistent with this, studies in capillary endothelial cells showed that mechanical strain-induced Ca2+ influx through TRPV4 promote focal adhesion and stress fiber remodeling, mediated specifically through integrins, PI3K, and downstream kinases including Rho and ROCK (5).

    Alternate Names

    BCYM3; CMT2C; HMSN2C; Osm-9-like TRP channel 4; OSM9-like transient receptor potential channel 4; osmosensitive transient receptor potential channel 4; OTRPC4; SMAL; SPSMA; SSQTL1; Transient receptor potential cation channel subfamily V member 4; transient receptor potential cation channel, subfamily V, member 4; Transient receptor potential protein 12; TRP12; TRPV4; Vanilloid receptor-like channel 2; Vanilloid receptor-like protein 2; vanilloid receptor-related osmotically activated channel; Vanilloid receptor-related osmotically-activated channel; VR-OAC; VRL-2; VRL2; VROAC

    For Research Use Only. Not for Use in Diagnostic Procedures.
    Cell Signaling Technology is a trademark of Cell Signaling Technology, Inc.
    All other trademarks are the property of their respective owners. Visit our Trademark Information page.