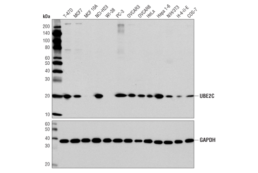
UBE2C Antibody #14234
- WB
Product Specifications
| REACTIVITY | H M R Mk |
| SENSITIVITY | Endogenous |
| MW (kDa) | 20 |
| SOURCE | Rabbit |
Application Key:
- WB-Western Blotting
Species Cross-Reactivity Key:
- H-Human
- M-Mouse
- R-Rat
- Mk-Monkey
Product Information
Product Usage Information
| Application | Dilution |
|---|---|
| Western Blotting | 1:1000 |
Storage
Protocol
Specificity / Sensitivity
Species Reactivity:
Source / Purification
Background
Ubiquitin-conjugating enzyme 2C (UBE2C) is one of several ubiquitin conjugating enzymes participating in the E3 anaphase-promoting complex (APC/C). UBE2C is involved in the control of multiple stages of the cell cycle including inactivation of the mitotic spindle assembly checkpoint (2). UBE2C facilitates ubiquitin-dependent proteasomal degradation by initiating K11-linked ubiquitin chains on APC/C substrates (3). Research studies show that UBE2C expression is low in normal tissues, but its expression is dramatically upregulated in tumors derived from tissues such as lung, breast, and prostate (3-8). Overexpression of UBE2C in many types of solid tumors has been attributed to genomic amplification of the UBE2C locus and research studies have suggested that inhibition of UBE2C activity may have therapeutic potential (9).
- Hershko, A. (1988) J Biol Chem 263, 15237-40.
- Reddy, S.K. et al. (2007) Nature 446, 921-5.
- Wickliffe, K.E. et al. (2011) Cell 144, 769-81.
- Okamoto, Y. et al. (2003) Cancer Res 63, 4167-73.
- Berlingieri, M.T. et al. (2007) Eur J Cancer 43, 2729-35.
- Loussouarn, D. et al. (2009) Br J Cancer 101, 166-73.
- Wang, Q. et al. (2009) Cell 138, 245-56.
- Chen, Z. et al. (2011) EMBO J 30, 2405-19.
- Wagner, K.W. et al. (2004) Oncogene 23, 6621-9.
Alternate Names
(E3-independent) E2 ubiquitin-conjugating enzyme C; cyclin-selective ubiquitin carrier protein; dJ447F3.2; E2 ubiquitin-conjugating enzyme C; mitotic-specific ubiquitin-conjugating enzyme; UBCH10; UBE2C; Ubiquitin carrier protein C; ubiquitin carrier protein E2-C; ubiquitin conjugating enzyme E2 C; ubiquitin conjugating enzyme E2C; Ubiquitin-conjugating enzyme E2 C; ubiquitin-conjugating enzyme E2C; Ubiquitin-protein ligase C
Limited Uses
Except as otherwise expressly agreed in a writing signed by a legally authorized representative of CST, the following terms apply to Products provided by CST, its affiliates or its distributors. Any Customer's terms and conditions that are in addition to, or different from, those contained herein, unless separately accepted in writing by a legally authorized representative of CST, are rejected and are of no force or effect.
Products are labeled with For Research Use Only or a similar labeling statement and have not been approved, cleared, or licensed by the FDA or other regulatory foreign or domestic entity, for any purpose. Customer shall not use any Product for any diagnostic or therapeutic purpose, or otherwise in any manner that conflicts with its labeling statement. Products sold or licensed by CST are provided for Customer as the end-user and solely for research and development uses. Any use of Product for diagnostic, prophylactic or therapeutic purposes, or any purchase of Product for resale (alone or as a component) or other commercial purpose, requires a separate license from CST. Customer shall (a) not sell, license, loan, donate or otherwise transfer or make available any Product to any third party, whether alone or in combination with other materials, or use the Products to manufacture any commercial products, (b) not copy, modify, reverse engineer, decompile, disassemble or otherwise attempt to discover the underlying structure or technology of the Products, or use the Products for the purpose of developing any products or services that would compete with CST products or services, (c) not alter or remove from the Products any trademarks, trade names, logos, patent or copyright notices or markings, (d) use the Products solely in accordance with CST Product Terms of Sale and any applicable documentation, and (e) comply with any license, terms of service or similar agreement with respect to any third party products or services used by Customer in connection with the Products.