Cell Signaling Technology Logo - Extra Large
Trial Size Available Flag
Recombinant Flag
Recombinant: Superior lot-to-lot consistency, continuous supply, and animal-free manufacturing.

Ubiquityl-Histone H2A.Z (Lys120) (E6G7X) Rabbit Monoclonal Antibody #68135

Filter:
  • WB
  • ChIP

    Product Specifications

    REACTIVITY H M R Mk
    SENSITIVITY Endogenous
    MW (kDa) 23
    Source/Isotype Rabbit IgG
    Application Key:
    • WB-Western Blotting 
    • ChIP-Chromatin Immunoprecipitation 
    Species Cross-Reactivity Key:
    • H-Human 
    • M-Mouse 
    • R-Rat 
    • Mk-Monkey 

    Product Information

    Product Usage Information

    For optimal ChIP and ChIP-seq results, use 10 μl of antibody and 10 μg of chromatin (approximately 4 × 106 cells) per IP. This antibody has been validated using SimpleChIP® Enzymatic Chromatin IP Kits.
    Application Dilution
    Western Blotting 1:1000
    Chromatin IP 1:50
    Chromatin IP-seq 1:50

    Storage

    Supplied in 10 mM sodium HEPES (pH 7.5), 150 mM NaCl, 100 µg/ml BSA, 50% glycerol and less than 0.02% sodium azide. Store at –20°C. Do not aliquot the antibody.

    Protocol

    Specificity / Sensitivity

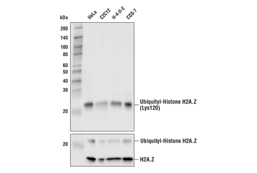
    Ubiquityl-Histone H2A.Z (Lys120) (E6G7X) Rabbit Monoclonal Antibody recognizes endogenous levels of histone H2A.Z protein only when ubiquitylated at Lys120. This antibody does not detect histone H2A.Z that is ubiquitylated on Lys121, nor does it detect histone H2A.Z that is dually ubiquitylated on Lys120 and Lys121. This antibody does not cross-react with other ubiquitylated proteins or free ubiquitin.

    Species Reactivity:

    Human, Mouse, Rat, Monkey

    Source / Purification

    Monoclonal antibody is produced by immunizing animals with a synthetic peptide corresponding to residues surrounding ubiquitylated Lys120 of human histone H2A.Z protein.

    Background

    Modulation of chromatin structure plays a critical role in the regulation of transcription in eukaryotes. The nucleosome, made up of four core histone proteins (H2A, H2B, H3 and H4), is the primary building block of chromatin. In addition to the growing number of post-translational histone modifications regulating chromatin structure, cells can also exchange canonical histones with variant histones that can directly or indirectly modulate chromatin structure (1). There are five major variants of histone H2A: canonical H2A (most abundant), H2A.X, MacroH2A, H2ABbd and H2A.Z (2). Histone H2A.Z, the most conserved variant across species, functions as both a positive and negative regulator of transcription and is important for chromosome stability (2). Several homologous protein complexes, such as SWR-C (S. cerevisiae), TIP60 (D. melanogaster) and SRCAP (mammals), have been shown to catalyze the ATP-dependent exchange of H2A.Z for H2A in the nucleosome (3,4,5). This exchange of histone H2A variants changes histone-histone interactions in the nucleosome core and alters an acidic patch on the surface of the nucleosome, resulting in changes in nucleosome stability and binding of non-histone proteins such as HP1α (6,7).

    H2A.Z is a histone H2A variant protein that is critical for proper regulation of gene expression. H2A.Z is localized throughout the genome, but appears to be most concentrated at the promoters and enhancers of active genes (8). Acetylation of histone H2A.Z at promoters and enhancers confers nucleosome destabilization and open chromatin confirmation, facilitating transcriptional activation (9-11). While the bulk of histone H2A.Z appears to be excluded from constitutive heterochromatin, histone H2A.Z is found in various forms of facultative heterochromatin, including the inactive X chromosome and transcriptionally poised bivalent gene promoters (8,12). In these heterochromatic regions of the genome, H2A.Z is mono-ubiquitylated on Lys120 and Lys121 by the Ring1B ubiquitin ligase found in the Polycomb Repressor Complex 1 (PRC1) (8,12). Mono-methylation of H2A.Z on Lys120 and Lys121 facilitates repression of gene expression by inhibiting the binding of the activating BRD4 protein and facilitating the recruitment of the Polycomb Repressor Complex 2 (PRC2), the latter of which methylates histone H3 on Lys27 and facilitates transcriptional repression (8).

    Alternate Names

    H2A histone family member Z; H2A histone family, member Z; H2A.z; H2A.Z variant histone 1; H2A.Z-1; H2A/z; H2AFZ; H2AZ; H2AZ histone; H2AZ1; Histone H2A.Z; MGC117173

    For Research Use Only. Not for Use in Diagnostic Procedures.
    Cell Signaling Technology is a trademark of Cell Signaling Technology, Inc.
    SimpleChIP is a registered trademark of Cell Signaling Technology, Inc.
    All other trademarks are the property of their respective owners. Visit our Trademark Information page.