Render Target: STATIC
Render Timestamp:
5/20/2026, 6:24:58 AM EDT
5/20/2026, 10:24:58 AM UTC
Commit: 7ed46ecc04b401f23a28df741b5078df405d23e4
XML generation date: 2025-11-13 17:58:39.870
Product last modified at: 2026-03-20T08:03:39.224Z
Cell Signaling Technology Logo - Extra Large
1% for the planet logo
PDP - Template Name: Polyclonal Antibody
PDP - Template ID: *******59c6464

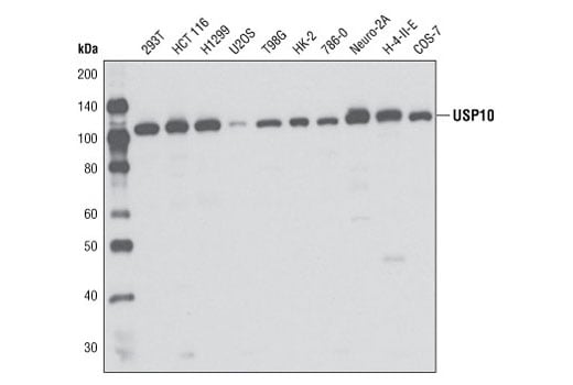
USP10 Antibody #5553

Filter:
  • WB
  • IP
  • IF

    Product Specifications

    REACTIVITY H M R Mk
    SENSITIVITY Endogenous
    MW (kDa) 110
    SOURCE Rabbit
    Application Key:
    • WB-Western Blotting 
    • IP-Immunoprecipitation 
    • IF-Immunofluorescence 
    Species Cross-Reactivity Key:
    • H-Human 
    • M-Mouse 
    • R-Rat 
    • Mk-Monkey 

    Product Information

    Product Usage Information

    Application Dilution
    Western Blotting 1:1000
    Immunoprecipitation 1:50
    Immunofluorescence (Immunocytochemistry) 1:50

    Storage

    Supplied in 10 mM sodium HEPES (pH 7.5), 150 mM NaCl, 100 µg/ml BSA and 50% glycerol. Store at –20°C. Do not aliquot the antibody.

    Protocol

    Specificity / Sensitivity

    USP10 Antibody detects endogenous levels of total USP10 protein.

    Species Reactivity:

    Human, Mouse, Rat, Monkey

    Source / Purification

    Polyclonal antibodies are produced by immunizing animals with a synthetic peptide corresponding to residues surrounding Leu163 of human USP10 protein. Antibodies are purified by protein A and peptide affinity chromatography.

    Background

    Ubiquitinating enzymes (UBEs) catalyze protein ubiquitination, a reversible process countered by deubiquitinating enzyme (DUB) action (1,2). Five DUB subfamilies are recognized, including the USP, UCH, OTU, MJD, and JAMM enzymes. USP10 possesses amino acid sequences that match the consensus cysteine and histidine boxes representative of the USP family of deubiquitinating enzymes. At the posttranslational level, USP10 appears to be regulated through both protein-protein interactions and phosphorylation. Indeed, interaction of USP10 with Ras-GAP SH3 domain binding protein (G3BP) has been found to inhibit its ability to catalyze the disassembly of ubiquitin chains (3). Furthermore, ATM-mediated phosphorylation of USP10 at Thr42 and Ser337 was shown to promote USP10 stabilization and redistribution from the cytoplasm to the nucleus, where it functions in p53 deubiquitination, stabilization, and activation in response to genotoxic stress (4). Recently, it was shown that USP10 works in concert with USP13 and Vps34 complexes. USP10, along with USP13, appears to deubiquitinate Vps34 complexes to regulate the levels of this class III PI3K. Beclin-1, another component of these complexes, functions to regulate the stability of USP13, which can deubiquitinate and stabilize the levels of USP10. Therefore, Beclin-1, can indirectly regulate p53 stability by controlling the DUB activity of USP10 (5). USP10 also functions in the endosomal compartment, where it has been shown to deubiquitinate CFTR in order to enhance its endocytic recycling and cell surface expression (6,7).

    Alternate Names

    Deubiquitinating enzyme 10; KIAA0190; MGC2621; Ubiquitin carboxyl-terminal hydrolase 10; ubiquitin specific peptidase 10; ubiquitin specific protease 10; Ubiquitin thioesterase 10; ubiquitin thiolesterase 10; Ubiquitin-specific-processing protease 10; UBP10; UBPO; USP10

    For Research Use Only. Not for Use in Diagnostic Procedures.
    Cell Signaling Technology is a trademark of Cell Signaling Technology, Inc.
    All other trademarks are the property of their respective owners. Visit our Trademark Information page.