Cell Signaling Technology Logo - Extra Large
Trial Size Available Flag
Recombinant Flag
Recombinant: Superior lot-to-lot consistency, continuous supply, and animal-free manufacturing.

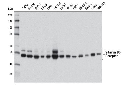
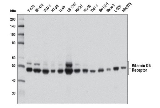
Vitamin D3 Receptor (D2K6W) Rabbit Monoclonal Antibody #12550

Filter:
  • WB
  • IP
  • IHC
  • ChIP
  • C&R

    Product Specifications

    REACTIVITY H M
    SENSITIVITY Endogenous
    MW (kDa) 48, 54
    Source/Isotype Rabbit IgG
    Application Key:
    • WB-Western Blotting 
    • IP-Immunoprecipitation 
    • IHC-Immunohistochemistry 
    • ChIP-Chromatin Immunoprecipitation 
    • C&R-CUT & RUN 
    Species Cross-Reactivity Key:
    • H-Human 
    • M-Mouse 

    Product Information

    Product Usage Information

    For optimal ChIP and ChIP-seq results, use 10 μl of antibody and 10 μg of chromatin (approximately 4 x 106 cells) per IP. This antibody has been validated using SimpleChIP® Enzymatic Chromatin IP Kits.

    The CUT&RUN dilution was determined using CUT&RUN Assay Kit #86652.

    Application Dilution
    Western Blotting 1:1000
    Immunoprecipitation 1:100
    Immunohistochemistry (Paraffin) 1:100 - 1:400
    Chromatin IP 1:50
    Chromatin IP-seq 1:50
    CUT&RUN 1:100

    Storage

    Supplied in 10 mM sodium HEPES (pH 7.5), 150 mM NaCl, 100 µg/ml BSA, 50% glycerol and less than 0.02% sodium azide. Store at –20°C. Do not aliquot the antibody.

    For a carrier free (BSA and azide free) version of this product see product #54721.

    Protocol

    Specificity / Sensitivity

    Vitamin D3 Receptor (D2K6W) Rabbit Monoclonal Antibody recognizes endogenous levels of total vitamin D3 receptor protein. This antibody does not cross-react with vitamin D3 receptor-like proteins. Based upon sequence alignment, this antibody is predicted to react with both VDRB1 and VDRB2 isoforms.

    Species Reactivity:

    Human, Mouse

    The antigen sequence used to produce this antibody shares 100% sequence homology with the species listed here, but reactivity has not been tested or confirmed to work by CST. Use of this product with these species is not covered under our Product Performance Guarantee.

    Species predicted to react based on 100% sequence homology:

    Hamster, Bovine, Pig, Horse

    Source / Purification

    Monoclonal antibody is produced by immunizing animals with a synthetic peptide corresponding to residues near the amino terminus of human vitamin D3 receptor isoform A protein.

    Background

    Although originally identified based on their roles in calcium and bone homeostasis, the vitamin D3 receptor (VDR/NR1I1) and its ligand 1-α, 25-dihydroxycholecalciferol [1α, 25(OH)2D3] are now recognized to exert biological effects in almost every tissue of the human body. Targets for vitamin D signaling include the central nervous system, skin, immune system, endocrine glands, kidney, and colon. At the cellular level, vitamin D signaling affects proliferation, differentiation, and apoptosis of both normal and transformed cells. Within the steroid receptor gene family, VDR belongs to the NR1I subfamily that also includes NR1I2/PXR and NR1I3/CAR. The human VDR gene is composed of 11 exons that encode six domains (A-F) of the full length VDR protein, which includes an N-terminal dual zinc finger DNA binding domain, a C-terminal ligand-binding activity domain, and an extensive unstructured region that links the two functional domains together (1). Upon 1α, 25(OH)2D3 binding to the hormone ligand-binding domain, VDR is stabilized by the phosphorylation of Ser51 in the DNA-binding domain by PKC (2), and Ser208 in the hinge region by casein kinase II (3). VDR associates with the retinoic acid receptor (RXR) through dimerization domains. The 1α, 25(OH)2D3-VDR-RXR complex binds to the vitamin D response elements (VDREs) in the promoters of target genes through the DNA-binding domain. Ligand-induced conformation changes in VDR results in the dissociation of the co-repressor, silencing-mediator for retinoid and thyroid hormone receptors (SMRT), and allows interaction of the VDR activation function (AF2) transactivation domain with transcriptional coactivators (1).Studies have shown that variable VDR expression is associated with different forms or stages of cancer and likely results from tissue-type variation in 1α, 25(OH)2D3 signaling. In the case of colon cancer, research indicates that VDR expression is relatively higher in hyperplastic colon polyps and during early tumorigenesis but diminishes in later stage, poorly differentiated tumors. Multiple studies suggest that 1α, 25(OH)2D3 may be an attractive target for development as a therapeutic anticancer agent (4,5) .

    Alternate Names

    1,25-dihydroxyvitamin D3 receptor; NR1I1; nuclear receptor subfamily 1 group I member 1; PPP1R163; protein phosphatase 1, regulatory subunit 163; VDR; vitamin D (1,25- dihydroxyvitamin D3) receptor; vitamin D nuclear receptor variant 1; vitamin D receptor; Vitamin D3 receptor

    For Research Use Only. Not for Use in Diagnostic Procedures.
    Cell Signaling Technology is a trademark of Cell Signaling Technology, Inc.
    All other trademarks are the property of their respective owners. Visit our Trademark Information page.