Cell Signaling Technology Logo - Extra Large
Trial Size Available Flag
Recombinant Flag
Recombinant: Superior lot-to-lot consistency, continuous supply, and animal-free manufacturing.

XBP-1s (E9V3E) Rabbit Monoclonal Antibody #40435

Filter:
  • WB
  • IF
  • F
  • ChIP

    Product Specifications

    REACTIVITY H M R
    SENSITIVITY Endogenous
    MW (kDa) 60 (human), 55 (mouse/rat)
    Source/Isotype Rabbit IgG
    Application Key:
    • WB-Western Blotting 
    • IF-Immunofluorescence 
    • F-Flow Cytometry 
    • ChIP-Chromatin Immunoprecipitation 
    Species Cross-Reactivity Key:
    • H-Human 
    • M-Mouse 
    • R-Rat 

    Product Information

    Product Usage Information

    For optimal ChIP results, use 10 μl of antibody and 10 μg of chromatin (approximately 4 × 10^6 cells) per IP. This antibody has been validated using SimpleChIP® Enzymatic Chromatin IP Kits.
    Application Dilution
    Western Blotting 1:1000
    Immunofluorescence (Immunocytochemistry) 1:100
    Flow Cytometry (Fixed/Permeabilized) 1:400 - 1:1600
    Chromatin IP 1:50

    Storage

    Supplied in 10 mM sodium HEPES (pH 7.5), 150 mM NaCl, 100 µg/ml BSA, 50% glycerol and less than 0.02% sodium azide. Store at –20°C. Do not aliquot the antibody.

    For a carrier free (BSA and azide free) version of this product see product #72916.

    Protocol

    Specificity / Sensitivity

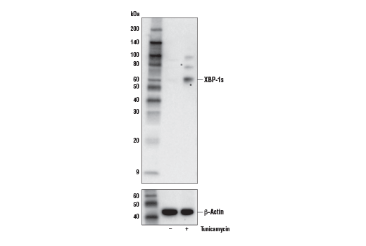
    XBP-1s (E9V3E) Rabbit Monoclonal Antibody recognizes endogenous levels of total XBP-1s protein. In western blot analysis, this antibody detects a 78 kDa protein and a 99 kDa protein of unknown identities.

    Species Reactivity:

    Human, Mouse, Rat

    Source / Purification

    Monoclonal antibody is produced by immunizing animals with a synthetic peptide corresponding to residues surrounding Ala361 of mouse XBP-1s protein.

    Background

    Following protein synthesis, secretory, intra-organellar, and transmembrane proteins translocate into the endoplasmic reticulum (ER) where they are post-translationally modified and properly folded. The accumulation of unfolded proteins within the ER triggers an adaptive mechanism known as the unfolded protein response (UPR) that counteracts compromised protein folding (1). The transmembrane serine/threonine kinase IRE1, originally identified in Saccharomyces cerevisiae, is a proximal sensor for the UPR that transmits the unfolded protein signal across the ER membrane (2-4). The human homolog IRE1α was later identified and is ubiquitously expressed in human tissues (5). Upon activation of the unfolded protein response, IRE1α splices X-box binding protein 1 (XBP-1) mRNA through an unconventional mechanism using its endoribonuclease activity (6). This reaction converts XBP-1 from an unspliced XBP-1u isoform to the spliced XBP-1s isoform, which is a potent transcriptional activator that induces expression of many UPR responsive genes (6).

    Alternate Names

    D11Ertd39; D11Ertd39e; Tax-responsive element-binding protein 5; tax-responsive element-binding protein 5 homolog; TREB; TREB-; TREB-5; Treb5; X-box binding protein 1; X-box-binding protein 1; X-box-binding protein 1, cytoplasmic form; X-box-binding protein 1, luminal form; XBP-; XBP-1; XBP-1S; XBP1; XBP1 iso2

    For Research Use Only. Not for Use in Diagnostic Procedures.
    Cell Signaling Technology is a trademark of Cell Signaling Technology, Inc.
    Alexa Fluor is a registered trademark of Life Technologies Corporation.
    All other trademarks are the property of their respective owners. Visit our Trademark Information page.