YAP/TAZ (D24E4) Rabbit Monoclonal Antibody #8418
- WB
- IP
Product Specifications
| REACTIVITY | H M Mk |
| SENSITIVITY | Endogenous |
| MW (kDa) | 55, 78 |
| Source/Isotype | Rabbit IgG |
Application Key:
- WB-Western Blotting
- IP-Immunoprecipitation
Species Cross-Reactivity Key:
- H-Human
- M-Mouse
- Mk-Monkey
Product Information
Product Usage Information
| Application | Dilution |
|---|---|
| Western Blotting | 1:1000 |
| Immunoprecipitation | 1:50 |
Storage
Protocol
Specificity / Sensitivity
Species Reactivity:
Source / Purification
Background
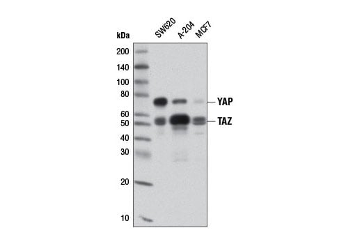
TAZ is a transcriptional co-activator with a PDZ-binding motif that is regulated by its interaction with 14-3-3 proteins (11). TAZ shares homology with the WW domain of Yes-associated protein (YAP) (11). TAZ is proposed to modulate the switch between proliferation and differentiation of mesenchymal stem cells (MSC) via interaction with transcription factors Runx2 and PPARγ. This process is critical to normal tissue development and the prevention of tumor formation. Due to its role in determination of MSC fate, TAZ may have clinical relevance to several human diseases caused by an imbalance of MSC differentiation (12,13). TAZ is negatively regulated via phosphorylation by LATS1/2, core kinases in the Hippo signaling pathway that controls stem cell development, tissue growth and tumor development (14).
- Sudol, M. (1994) Oncogene 9, 2145-52.
- Mohler, P.J. et al. (1999) J Cell Biol 147, 879-90.
- Espanel, X. and Sudol, M. (2001) J Biol Chem 276, 14514-23.
- Sudol, M. et al. (1995) FEBS Lett 369, 67-71.
- Yagi, R. et al. (1999) EMBO J 18, 2551-62.
- Dong, J. et al. (2007) Cell 130, 1120-33.
- Zhao, B. et al. (2010) Genes Dev 24, 862-74.
- Zhao, B. et al. (2007) Genes Dev 21, 2747-61.
- Yu, F.X. et al. (2012) Cell 150, 780-91.
- Zhao, B. et al. (2010) Genes Dev 24, 72-85.
- Kanai, F. et al. (2000) EMBO J 19, 6778-91.
- Hong, J.H. et al. (2005) Science 309, 1074-8.
- Hong, J.H. and Yaffe, M.B. (2006) Cell Cycle 5, 176-9.
- Lei, Q.Y. et al. (2008) Mol Cell Biol 28, 2426-36.
Alternate Names
65 kDa Yes-associated protein; COB1; DKFZp586I1419; FLJ27004; FLJ45718; Protein yorkie homolog; TAZ; transcriptional co-activator with PDZ-binding motif; Transcriptional coactivator with PDZ-binding motif; Transcriptional coactivator YAP1; WW domain containing transcription regulator 1; WW domain-containing transcription regulator protein 1; WWTR1; YAP; YAP1; YAP2; YAP65; Yes associated protein 1; Yes-associated protein 1; Yes-associated protein 1, 65kDa; yes-associated protein 2; Yes-associated protein YAP65 homolog; Yes1 associated transcriptional regulator; YKI; Yorkie homolog
Limited Uses
Except as otherwise expressly agreed in a writing signed by a legally authorized representative of CST, the following terms apply to Products provided by CST, its affiliates or its distributors. Any Customer's terms and conditions that are in addition to, or different from, those contained herein, unless separately accepted in writing by a legally authorized representative of CST, are rejected and are of no force or effect.
Products are labeled with For Research Use Only or a similar labeling statement and have not been approved, cleared, or licensed by the FDA or other regulatory foreign or domestic entity, for any purpose. Customer shall not use any Product for any diagnostic or therapeutic purpose, or otherwise in any manner that conflicts with its labeling statement. Products sold or licensed by CST are provided for Customer as the end-user and solely for research and development uses. Any use of Product for diagnostic, prophylactic or therapeutic purposes, or any purchase of Product for resale (alone or as a component) or other commercial purpose, requires a separate license from CST. Customer shall (a) not sell, license, loan, donate or otherwise transfer or make available any Product to any third party, whether alone or in combination with other materials, or use the Products to manufacture any commercial products, (b) not copy, modify, reverse engineer, decompile, disassemble or otherwise attempt to discover the underlying structure or technology of the Products, or use the Products for the purpose of developing any products or services that would compete with CST products or services, (c) not alter or remove from the Products any trademarks, trade names, logos, patent or copyright notices or markings, (d) use the Products solely in accordance with CST Product Terms of Sale and any applicable documentation, and (e) comply with any license, terms of service or similar agreement with respect to any third party products or services used by Customer in connection with the Products.