Cell Signaling Technology Logo - Extra Large
Trial Size Available Flag
Recombinant Flag
Recombinant: Superior lot-to-lot consistency, continuous supply, and animal-free manufacturing.

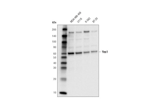
Yes (D9P3E) Rabbit Monoclonal Antibody #65890

Filter:
  • WB
  • IP

    Product Specifications

    REACTIVITY H
    SENSITIVITY Endogenous
    MW (kDa) 60
    Source/Isotype Rabbit IgG
    Application Key:
    • WB-Western Blotting 
    • IP-Immunoprecipitation 
    Species Cross-Reactivity Key:
    • H-Human 

    Product Information

    Product Usage Information

    Application Dilution
    Western Blotting 1:1000
    Immunoprecipitation 1:100

    Storage

    Supplied in 10 mM sodium HEPES (pH 7.5), 150 mM NaCl, 100 µg/ml BSA, 50% glycerol and less than 0.02% sodium azide. Store at –20°C. Do not aliquot the antibody.

    Protocol

    Specificity / Sensitivity

    Yes (D9P3E) Rabbit Monoclonal Antibody recognizes endogenous levels of total Yes protein.

    Species Reactivity:

    Human

    Source / Purification

    Monoclonal antibody is produced by immunizing animals with a synthetic peptide corresponding to residues near the amino terminus of human Yes protein.

    Background

    The cellular oncogene c-Yes and its viral homologue v-Yes (the transforming gene of Yamaguchi 73 and Esh avian sarcoma viruses) encode a 60 kDa, cytoplasmic, membrane-associated, protein-tyrosine kinase (1). Yes belongs to the Src kinase family and is ubiquitously expressed in many tissues and cells. Like other Src family members, Yes contains several conserved functional domains such as an N-terminal myristoylation sequence for membrane targeting, SH2 and SH3 domains, a kinase domain, and a C-terminal non-catalytic domain (2). Although several lines of evidence support redundancy in signaling between Yes and other Src family kinases, there is also a growing body of evidence indicating specificity in Yes signaling (2). Yes is activated downstream of a multitude of cell surface receptors, including receptor tyrosine kinases, G protein-coupled receptors, and cytokine receptors (3). In addition, both Yes and Src kinases are activated during the cell cycle transition from G2 to M phase (3). Investigators have found that dysfunction of Yes is associated with the development of various cancers (4).

    Alternate Names

    c-yes; cellular yes-1 protein; HsT441; p61-Yes; Proto-oncogene c-Yes; Proto-oncogene tyrosine-protein kinase Yes; Tyrosine-protein kinase Yes; v-yes-1 Yamaguchi sarcoma viral oncogene homolog 1; viral oncogene yes-1 homolog 1; Yamaguchi sarcoma oncogene; YES; YES proto-oncogene 1, Src family tyrosine kinase; YES1; YES1 proto-oncogene, Src family tyrosine kinase

    For Research Use Only. Not for Use in Diagnostic Procedures.
    Cell Signaling Technology is a trademark of Cell Signaling Technology, Inc.
    All other trademarks are the property of their respective owners. Visit our Trademark Information page.