Cell Signaling Technology Logo - Extra Large
Trial Size Available Flag
Recombinant Flag
Recombinant: Superior lot-to-lot consistency, continuous supply, and animal-free manufacturing.

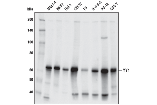
YY1 (D5D9Z) Rabbit Monoclonal Antibody #46395

Filter:
  • WB
  • IP
  • IF
  • F
  • ChIP
  • C&R
  • C&T

    Product Specifications

    REACTIVITY H M R Mk
    SENSITIVITY Endogenous
    MW (kDa) 65
    Source/Isotype Rabbit IgG
    Application Key:
    • WB-Western Blotting 
    • IP-Immunoprecipitation 
    • IF-Immunofluorescence 
    • F-Flow Cytometry 
    • ChIP-Chromatin Immunoprecipitation 
    • C&R-CUT & RUN 
    • C&T-CUT & Tag 
    Species Cross-Reactivity Key:
    • H-Human 
    • M-Mouse 
    • R-Rat 
    • Mk-Monkey 

    Product Information

    Product Usage Information

    For optimal ChIP and ChIP-seq results, use 10 μl of antibody and 10 μg of chromatin (approximately 4 x 106 cells) per IP. This antibody has been validated using SimpleChIP® Enzymatic Chromatin IP Kits.

    The CUT&RUN dilution was determined using CUT&RUN Assay Kit #86652.

    The CUT&Tag dilution was determined using CUT&Tag Assay Kit #77552.

    Application Dilution
    Western Blotting 1:1000
    Immunoprecipitation 1:200
    Immunofluorescence (Immunocytochemistry) 1:800
    Flow Cytometry (Fixed/Permeabilized) 1:100
    Chromatin IP 1:50
    Chromatin IP-seq 1:50
    CUT&RUN 1:50
    CUT&Tag 1:50

    Storage

    Supplied in 10 mM sodium HEPES (pH 7.5), 150 mM NaCl, 100 µg/ml BSA, 50% glycerol and less than 0.02% sodium azide. Store at –20°C. Do not aliquot the antibody.

    Protocol

    Specificity / Sensitivity

    YY1 (D5D9Z) Rabbit Monoclonal Antibody recognizes endogenous levels of total YY1 protein.

    Species Reactivity:

    Human, Mouse, Rat, Monkey

    Source / Purification

    Monoclonal antibody is produced by immunizing animals with recombinant protein specific to the carboxy terminus of human YY1 protein. The antibody epitope has been further mapped to a peptide corresponding to residues surrounding Pro284 of human YY1 protein.

    Background

    YY1 (Yin Yang1) is a ubiquitously expressed transcription factor with fundamental roles in embryogenesis, differentiation, replication and proliferation. YY1 contains four zinc finger motifs of the Cys-Cys-His-His type and can activate different eukaryotic genes (such as CREB, c-myc, Histone H4, p53 and PARP-1) or repress different eukaryotic genes (such as α-actin, IFN-β and IFN-γ) as well as regulate some viral promoters (1). YY1 deficient embryos die approximately at the time of implantation, suggesting that YY1 has an essential role in embryonic development (2). YY1 is overexpressed in cancer cells such as prostate cancer and therefore may be considered a prognostic marker (1).

    Alternate Names

    DELTA; Delta transcription factor; GADEVS; INO80 complex subunit S; INO80S; NF-E1; Transcriptional repressor protein YY1; TYY1; UCRBP; Yin and yang 1; Yin and Yang 1 protein; yin yang 1; YIN-YANG-1; YY-1; YY1; YY1 transcription factor

    For Research Use Only. Not for Use in Diagnostic Procedures.
    Cell Signaling Technology is a trademark of Cell Signaling Technology, Inc.
    Alexa Fluor is a registered trademark of Life Technologies Corporation.
    The transfer of this product is contingent on the buyer using the purchased product solely in research conducted by the buyer (whether the buyer is an academic or for-profit entity), for Immunocytochemistry, high content screening (HCS) analysis, or flow cytometry applications. The sale of this product is expressly conditioned on the buyer not using the product or its components (1) in manufacturing; (2) to provide a service, information, or data to an unaffiliated third party for payment; (3) for therapeutic, diagnostic or prophylactic purposes; (4) resale, whether or not such product or its components are resold for use in research; or for any other commercial purpose. For information on purchasing a license to this product for purposes other than research, contact Life Technologies Corporation, 5791 Van Allen Way, Carlsbad, CA 92008 USA or [email protected].
    All other trademarks are the property of their respective owners. Visit our Trademark Information page.