Cell Signaling Technology Logo - Extra Large

Goat Anti-Mouse IgG2c, Fc gamma Specific Antibody (HRP Conjugate) #56970

Filter:
  • WB

    Product Specifications

    REACTIVITY M
    SENSITIVITY
    MW (kDa)
    Source/Isotype Goat
    Application Key:
    • WB-Western Blotting 
    Species Cross-Reactivity Key:
    • M-Mouse 

    Product Information

    Product Description

    Affinity purified Goat Anti-Mouse IgG2c, Fc gamma Specific antibody is conjugated to horseradish peroxidase (HRP). This product has been optimized for use as a secondary antibody in Western blotting applications.

    Product Usage Information

    Recommended Antibody Dilution:

    1:1000

    Storage

    Supplied in 0.01M Sodium Phosphate, 0.25M NaCl, pH 7.6, 15 mg/ml Bovine Serum Albumin (IgG-Free, Protease- Free) and 50% glycerol. Store at –20°C. Do not aliquot the antibody.

    Protocol

    Specificity / Sensitivity

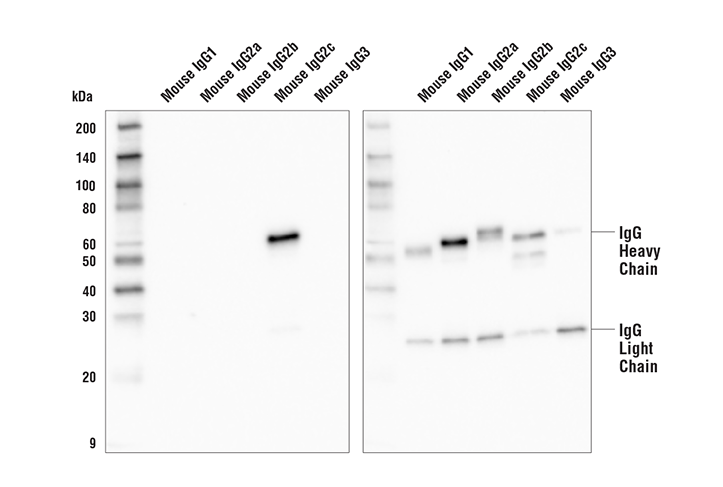
    Goat Anti-Mouse IgG2c, Fc gamma Specific Antibody (HRP Conjugate) detects the Fc portion of mouse IgG2c but does not cross-react with other mouse IgG subclasses, mouse IgM, or the Fab portion of mouse immunoglobulins. This antibody conjugate has minimal cross-reaction with human, bovine, and rabbit serum proteins. This antibody conjugate may cross-react with immunoglobulins from other species.

    Species Reactivity:

    Mouse

    Source / Purification

    Goat Anti-Mouse IgG2c, Fc gamma Specific Antibody (HRP Conjugate) is produced by immunizing goats with mouse IgG2c. The Anti-Mouse IgG2c, Fc gamma Specific Antibody is purified from antisera by immunoaffinity chromatography using antigens coupled to agarose beads.

    Background

    Chemiluminescence systems have emerged as the best all-around method for western blot detection. They eliminate the hazards associated with radioactive materials and toxic chromogenic substrates. The speed and sensitivity of these methods are unequalled by traditional alternatives, and because results are generated on film, it is possible to record and store data permanently. Blots detected with chemiluminescent methods are easily stripped for subsequent reprobing with additional antibodies. HRP-conjugated secondary antibodies are utilized in conjunction with specific chemiluminescent substrates to generate the light signal. HRP conjugates have a very high turnover rate, yielding good sensitivity with short reaction times.
      For Research Use Only. Not for Use in Diagnostic Procedures.
      Cell Signaling Technology is a trademark of Cell Signaling Technology, Inc.
      All other trademarks are the property of their respective owners. Visit our Trademark Information page.