Cell Signaling Technology Logo - Extra Large

Goat Anti-Rat IgG, Light-Chain Specific Antibody (HRP Conjugate) #98164

Filter:
  • WB

    Product Specifications

    REACTIVITY R
    SENSITIVITY
    MW (kDa)
    Source/Isotype Goat
    Application Key:
    • WB-Western Blotting 
    Species Cross-Reactivity Key:
    • R-Rat 

    Product Information

    Product Description

    Affinity purified Goat Anti-Rat IgG, Light-Chain Specific antibody is conjugated to horseradish peroxidase (HRP). This product has been optimized for use as a secondary antibody in Western blotting applications.

    Product Usage Information

    Recommended Antibody Dilutions:

    1:3000 - 1:5000

    Recommended antibody dilutions are provided in ranges because the optimal dilution is dependent on many factors, such as antigen density and permeability.

    Storage

    Supplied in 0.01M Sodium Phosphate, 0.25M NaCl, pH 7.6, 15 mg/ml Bovine Serum Albumin (IgG-Free, Protease- Free) and 50% glycerol. Store at –20°C. Do not aliquot the antibody.

    Protocol

    Specificity / Sensitivity

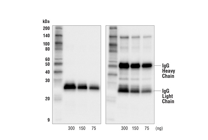
    Goat Anti-Rat IgG, Light-Chain Specific Antibody (HRP Conjugate) detects the light chains of rat IgG, reacting primarily with kappa light chains, but does not cross-react with rat IgG heavy chains. This antibody conjugate has minimal cross-reaction with bovine, goat, horse, human, mouse, rabbit, and sheep immunoglobulins. This antibody conjugate may cross-react with immunoglobulins from other species.

    Species Reactivity:

    Rat

    Source / Purification

    Goat Anti-Rat IgG, Light-Chain Specific Antibody (HRP Conjugate) is produced by immunizing goats with rat IgG. The Anti-Rat IgG, Light-Chain Specific Antibody is purified from antisera by immunoaffinity chromatography using antigens coupled to agarose beads.

    Background

    Chemiluminescence systems have emerged as the best all-around method for western blot detection. They eliminate the hazards associated with radioactive materials and toxic chromogenic substrates. The speed and sensitivity of these methods are unequalled by traditional alternatives, and because results are generated on film, it is possible to record and store data permanently. Blots detected with chemiluminescent methods are easily stripped for subsequent reprobing with additional antibodies. HRP-conjugated secondary antibodies are utilized in conjunction with specific chemiluminescent substrates to generate the light signal. HRP conjugates have a very high turnover rate, yielding good sensitivity with short reaction times.
      For Research Use Only. Not for Use in Diagnostic Procedures.
      Cell Signaling Technology is a trademark of Cell Signaling Technology, Inc.
      All other trademarks are the property of their respective owners. Visit our Trademark Information page.