Cell Signaling Technology Logo - Extra Large

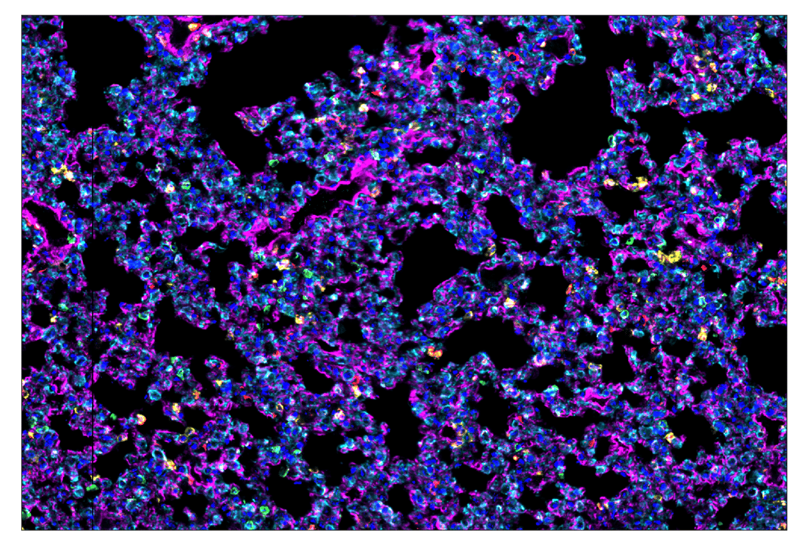
CD11b/ITGAM (E4K8C) & CO-0083-488 SignalStar Oligo-Antibody Pair #39172

Filter:
  • IHC

Order Information # 39172

This product is not sold separately. Please see the SignalStar® Multiplex IHC Panel Builder Tool for ordering information.

    Product Information

    Product Usage Information

    Application Dilution
    SignalStar™ Leica Bond 1:50 - 1:200
    SignalStar™ Manual 1:50 - 1:200

    Storage

    SignalStar conjugates are supplied in PBS (pH 7.2), less than 0.1% sodium azide, 2 mM EDTA, 0.05% Triton X-100, 2 mg/mL BSA, and 50% glycerol. Complementary oligos are supplied in nuclease-free water. Store at -20°C. Do not aliquot the antibody. All components in this kit are stable for at least 12 months when stored at the recommended temperature.

    Product Description

    SignalStar multiplex immunohistochemistry (IHC) is an advanced technology for labeling multiple proteins simultaneously in tissue samples using specific primary antibodies and fluorescent detection reagents. This technology offers accuracy and reliability in visualizing and analyzing protein expression while maintaining spatial context and tissue architecture.

    SignalStar Oligo-Antibody Pairs are compatible with the SignalStar Multiplex IHC Buffer Kits for use in fluorescent multiplex imaging experiments. This product includes the oligo-conjugated antibodies and complementary oligos required for labeling your target protein on up to 10 slides. SignalStar Multiplex IHC Buffer Kits are required to amplify and image the target signal. Multiple oligo-antibody pairs can be conveniently combined into a multiplex panel using the SignalStar Multiplex IHC Panel Builder. SignalStar Multiplex IHC Kits & Reagents are not compatible with all of Cell Signaling Technology® products and protocols that are recommended for use in immunohistochemical assays.

    Protocol

    Specificity / Sensitivity

    CD11b/ITGAM (E4K8C) Rabbit Monoclonal Antibody (SignalStar™ Conjugate 0083) recognizes endogenous levels of total CD11b/ITGAM protein. Non-specific staining was observed in mouse pancreatic acinar cells by immunohistochemistry.

    Species Reactivity:

    Mouse

    Source / Purification

    Monoclonal antibody is produced by immunizing animals with a synthetic peptide corresponding to residues surrounding Ser832 of mouse CD11b/ITGAM protein.

    Background

    Cluster of differentiation molecule 11b (CD11b)/Integrin alpha M (ITGAM) is a transmembrane protein forming heterodimers that are composed of α and β subunits (1). CD11b is expressed by, and commonly used as a marker for, myeloid lineage cells, including neutrophils, monocytes, macrophages, and microglia (2). CD11b is phosphorylated at Ser1126 (cytoplasmic tail) in neutrophils. Research has shown that this phosphorylation event plays a role for leukocytes traveling from the bloodstream to tissues (3). Furthermore, genome-wide association studies have linked CD11b to autoimmune diseases, such as systemic lupus erythematosus (SLE) (4).
    For Research Use Only. Not for Use in Diagnostic Procedures.
    Cell Signaling Technology is a trademark of Cell Signaling Technology, Inc.
    SignalStar is a registered trademark of Cell Signaling Technology, Inc.
    U.S. Patent No. 10,781,477, foreign equivalents, and child patents deriving therefrom.
    All other trademarks are the property of their respective owners. Visit our Trademark Information page.