Cell Signaling Technology Logo - Extra Large

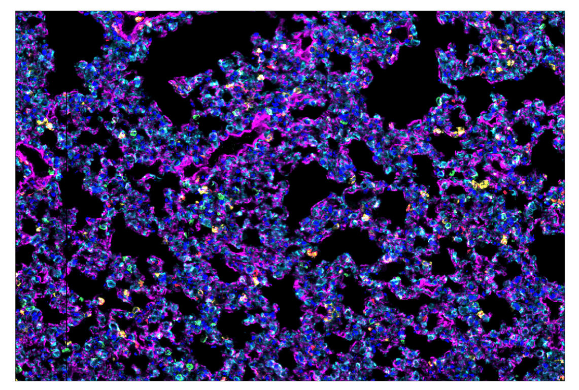
CD39/NTPDase 1 (E2X6B) & CO-0076-488 SignalStar Oligo-Antibody Pair #56428

Filter:
  • IHC

Order Information # 56428

This product is not sold separately. Please see the SignalStar® Multiplex IHC Panel Builder Tool for ordering information.

    Product Information

    Product Usage Information

    Application Dilution
    SignalStar™ Leica Bond 1:50 - 1:200
    SignalStar™ Manual 1:50 - 1:200

    Storage

    SignalStar conjugates are supplied in PBS (pH 7.2), less than 0.1% sodium azide, 2 mM EDTA, 0.05% Triton X-100, 2 mg/mL BSA, and 50% glycerol. Complementary oligos are supplied in nuclease-free water. Store at -20°C. Do not aliquot the antibody. All components in this kit are stable for at least 12 months when stored at the recommended temperature.

    Product Description

    SignalStar multiplex immunohistochemistry (IHC) is an advanced technology for labeling multiple proteins simultaneously in tissue samples using specific primary antibodies and fluorescent detection reagents. This technology offers accuracy and reliability in visualizing and analyzing protein expression while maintaining spatial context and tissue architecture.

    SignalStar Oligo-Antibody Pairs are compatible with the SignalStar Multiplex IHC Buffer Kits for use in fluorescent multiplex imaging experiments. This product includes the oligo-conjugated antibodies and complementary oligos required for labeling your target protein on up to 10 slides. SignalStar Multiplex IHC Buffer Kits are required to amplify and image the target signal. Multiple oligo-antibody pairs can be conveniently combined into a multiplex panel using the SignalStar Multiplex IHC Panel Builder. SignalStar Multiplex IHC Kits & Reagents are not compatible with all of Cell Signaling Technology® products and protocols that are recommended for use in immunohistochemical assays.

    Protocol

    Specificity / Sensitivity

    CD39/NTPDase 1 (E2X6B) Rabbit Monoclonal Antibody (SignalStar™ Conjugate 0076) recognizes endogenous levels of total NTPDase 1 protein.

    Species Reactivity:

    Mouse

    Source / Purification

    Monoclonal antibody is produced by immunizing animals with a synthetic peptide corresponding to residues surrounding Lys307 of mouse NTPDase 1 protein.

    Background

    Ectonucleoside triphosphate diphosphohydrolase 1 (NTPDase 1, also known as CD39) is a multi-pass membrane ectoenzyme that metabolizes adenosine-5'-triphosphate (ATP) to regulate purinergic signaling. Purinergic signaling by extracellular ATP and its metabolites regulate many biological processes, including vascular tone, digestion, neuronal function, and inflammation in both normal and diseased states (1). NTPDase 1 is expressed in endothelial cells in the vasculature to regulate local platelet purinergic signaling via metabolism of ATP to adenosine (2). Accordingly, NTPDase 1 regulates platelet activation aggregation and contributes to the antithrombotic properties of endothelial cells (3). ATP and its metabolites also finely modulate the activity of T cells and macrophages (4,5). Immunomodulation is regulated, in part, by the availability of extracellular ATP and adenosine, suggesting that NTPDase 1 (CD39) may play an immunosuppressive role in the tumor microenvironment.
    For Research Use Only. Not for Use in Diagnostic Procedures.
    Cell Signaling Technology is a trademark of Cell Signaling Technology, Inc.
    SignalStar is a registered trademark of Cell Signaling Technology, Inc.
    U.S. Patent No. 10,781,477, foreign equivalents, and child patents deriving therefrom.
    All other trademarks are the property of their respective owners. Visit our Trademark Information page.