Cell Signaling Technology Logo - Extra Large

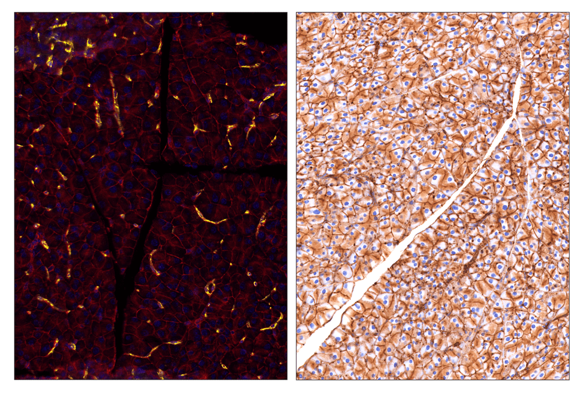
CD47 (E2V9V) & CO-0141-647 SignalStar Oligo-Antibody Pair #75398

Filter:
  • IHC

Order Information # 75398

This product is not sold separately. Please see the SignalStar® Multiplex IHC Panel Builder Tool for ordering information.

    Product Information

    Product Usage Information

    Application Dilution
    SignalStar™ Leica Bond 1:50 - 1:200
    SignalStar™ Manual 1:50 - 1:200

    Storage

    SignalStar conjugates are supplied in PBS (pH 7.2), less than 0.1% sodium azide, 2 mM EDTA, 0.05% Triton X-100, 2 mg/mL BSA, and 50% glycerol. Complementary oligos are supplied in nuclease-free water. Store at -20°C. Do not aliquot the antibody. All components in this kit are stable for at least 12 months when stored at the recommended temperature.

    Product Description

    SignalStar multiplex immunohistochemistry (IHC) is an advanced technology for labeling multiple proteins simultaneously in tissue samples using specific primary antibodies and fluorescent detection reagents. This technology offers accuracy and reliability in visualizing and analyzing protein expression while maintaining spatial context and tissue architecture.

    SignalStar Oligo-Antibody Pairs are compatible with the SignalStar Multiplex IHC Buffer Kits for use in fluorescent multiplex imaging experiments. This product includes the oligo-conjugated antibodies and complementary oligos required for labeling your target protein on up to 10 slides. SignalStar Multiplex IHC Buffer Kits are required to amplify and image the target signal. Multiple oligo-antibody pairs can be conveniently combined into a multiplex panel using the SignalStar Multiplex IHC Panel Builder. SignalStar Multiplex IHC Kits & Reagents are not compatible with all of Cell Signaling Technology® products and protocols that are recommended for use in immunohistochemical assays.

    Protocol

    Specificity / Sensitivity

    CD47 (E2V9V) Rabbit Monoclonal Antibody (SignalStar™ Conjugate 0141) recognizes endogenous levels of total CD47 protein.

    Species Reactivity:

    Mouse

    Source / Purification

    Monoclonal antibody is produced by immunizing animals with mouse CD47 recombinant protein.

    Background

    CD47 is a five-pass transmembrane protein expressed on all normal cells. It binds to the SIRPα that is expressed on myeloid cells, including macrophages, and neuronal cells in the central nervous system. Binding of CD47 to SIRPα promotes phosphorylation of tyrosine residues in the immunoreceptor tyrosine-based inhibitory motifs (ITIMs) within the SIRPα cytoplasmic tail, inhibiting macrophage phagocytosis toward CD47-expressing cells. In this way, CD47 serves as a "don't eat me" signal or a marker of "self", functioning as an innate immune checkpoint. Additionally, CD47 was reported to modulate lymphocyte cell activation and proliferation (1-3). CD47 is overexpressed in many types of cancer. The expression level of CD47 on cancer cells is negatively associated with the response to therapies, and low expression on tumor cells is associated with a better prognosis and survival. Reagents that can block CD47-SIRPα interaction are being actively pursued for therapeutic applications (4,5). In addition to SIRPα, other proteins have been reported to bind to CD47. Thrombospondin-1 (TSP1) competes with SIRPα to bind to CD47 in the extracellular region and activates signaling pathways downstream of CD47 (6). CD47 can laterally associate with VEGFR2, FAS, and certain integrins in different contexts, and influences their downstream signaling (7-9). CD47 can be shed from the cell surface by proteolytic cleavage. In addition, CD47 is present on extracellular vesicles including exosomes, suggesting additional extracellular signaling potential (10).
    For Research Use Only. Not for Use in Diagnostic Procedures.
    Cell Signaling Technology is a trademark of Cell Signaling Technology, Inc.
    SignalStar is a registered trademark of Cell Signaling Technology, Inc.
    U.S. Patent No. 10,781,477, foreign equivalents, and child patents deriving therefrom.
    All other trademarks are the property of their respective owners. Visit our Trademark Information page.