Cell Signaling Technology Logo - Extra Large

SignalSilence® USP14 siRNA I #7158

Inquiry Info. # 7158

Please see our recommended alternatives.

    Product Specifications

    REACTIVITY H
    Species Cross-Reactivity Key:
    • H-Human 

    Product Information

    Product Usage Information

    CST recommends transfection with 100 nM SignalSilence® USP14 siRNA I 48 to 72 hours prior to cell lysis. For transfection procedure, follow protocol provided by the transfection reagent manufacturer. Please feel free to contact CST with any questions on use.

    Each vial contains the equivalent of 100 transfections, which corresponds to a final siRNA concentration of 100 nM per transfection in a 24-well plate with a total volume of 300 μl per well.

    Storage

    SignalSilence® siRNA is supplied in RNAse-free water. Aliquot and store at -20ºC.

    Product Description

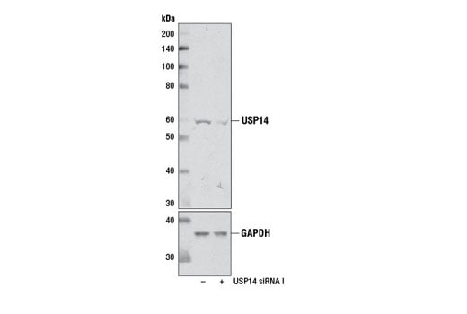
    SignalSilence® USP14 siRNA I from Cell Signaling Technology (CST) allows the researcher to specifically inhibit USP14 expression using RNA interference, a method whereby gene expression can be selectively silenced through the delivery of double stranded RNA molecules into the cell. All SignalSilence® siRNA products from CST are rigorously tested in-house and have been shown to reduce target protein expression by western analysis.

    Quality Control

    Oligonucleotide synthesis is monitored base by base through trityl analysis to ensure appropriate coupling efficiency. The oligo is subsequently purified by affinity-solid phase extraction. The annealed RNA duplex is further analyzed by mass spectrometry to verify the exact composition of the duplex. Each lot is compared to the previous lot by mass spectrometry to ensure maximum lot-to-lot consistency.

    Background

    Ubiquitinating enzymes (UBEs) catalyze protein ubiquitination, a reversible process countered by deubiquitinating enzyme (DUB) action (1,2). Five DUB subfamilies are recognized, including the USP, UCH, OTU, MJD, and JAMM enzymes. In humans, there are three proteasomal DUBs: PSMD14 (POH1/RPN11), UCH37 (UCH-L5), and Ubiquitin-Specific Protease 14, which is also known as the 60 kDa subunit of tRNA-guanine transglycosylase (USP14/TGT60 kDa). USP14 is recruited to the proteasome through its reversible association with the PSMD2 (S2/hRPN1) subunit of the 19S regulatory particle. Whereas PSMD14 appears to promote substrate degradation (3,4), USP14 is thought to antagonize substrate degradation (5-8). While the underlying mechanism for the opposing roles of these two proteasomal DUBs is still uncertain, it is thought that USP14 removes ubiquitin from substrate upon docking of the substrate with the 26S proteasome. Furthermore, USP14 trims ubiquitin residues from the distal end of the polyubiquitin chain, thus decreasing the affinity of the chain for the ubiquitin receptors of the proteasome, and allowing for enhanced substrate stability (6,9,10). Studies have elucidated a physiologic role for USP14 in regulating synaptic activity in mammals (11). Research studies have shown that targeting this activity with small molecule inhibitors has potential benefits for the treatment of neurodegenerative diseases and cancer (5,12).
    For Research Use Only. Not for Use in Diagnostic Procedures.
    Cell Signaling Technology is a trademark of Cell Signaling Technology, Inc.
    SignalSilence is a registered trademark of Cell Signaling Technology, Inc.
    All other trademarks are the property of their respective owners. Visit our Trademark Information page.