Cell Signaling Technology Logo - Extra Large
Recombinant Flag
Recombinant: Superior lot-to-lot consistency, continuous supply, and animal-free manufacturing.

Phospho-Akt (Ser473) (D9E) Rabbit Monoclonal Antibody (Sepharose® Bead Conjugate) #4070

Filter:
  • IP

    Product Specifications

    REACTIVITY H M R Hm Mk Dm Z B
    SENSITIVITY Endogenous
    MW (kDa) 60
    Source/Isotype Rabbit IgG
    Application Key:
    • IP-Immunoprecipitation 
    Species Cross-Reactivity Key:
    • H-Human 
    • M-Mouse 
    • R-Rat 
    • Hm-Hamster 
    • Mk-Monkey 
    • Dm-D. melanogaster 
    • Z-Zebrafish 
    • B-Bovine 

    Product Information

    Product Description

    This Cell Signaling Technology (CST) antibody is immobilized via covalent binding of primary amino groups to N-hydroxysuccinimide (NHS)-activated Sepharose® beads. Phospho-Akt (Ser473) (D9E) XP® Rabbit mAb (Sepharose® Bead Conjugate) is useful for immunoprecipitation assays. The unconjugated Phospho-Akt (Ser473) (D9E) XP® Rabbit mAb #4060 reacts with human, mouse, rat, hamster, Drosophila melanogaster, bovine and zebrafish phospho-Akt protein. CST expects that Phospho-Akt (Ser473) (D9E) XP® Rabbit mAb (Sepharose® Bead Conjugate) will also recognize phospho-Akt in these species.
    MW (kDa) 60

    Product Usage Information

    Application Dilution
    Immunoprecipitation 1:20

    Storage

    Supplied in 10 mM sodium HEPES (pH 7.5), 150 mM NaCl, 100 µg/ml BSA, 50% glycerol. Store at –20°C. Do not aliquot the antibodies.

    Protocol

    Specificity / Sensitivity

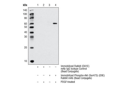
    Phospho-Akt (Ser473) (D9E) Rabbit Monoclonal Antibody (Sepharose® Bead Conjugate) immunoprecipitates endogenous levels of Akt only when phosphorylated at Ser473.

    Species Reactivity:

    Human, Mouse, Rat, Hamster, Monkey, D. melanogaster, Zebrafish, Bovine

    The antigen sequence used to produce this antibody shares 100% sequence homology with the species listed here, but reactivity has not been tested or confirmed to work by CST. Use of this product with these species is not covered under our Product Performance Guarantee.

    Species predicted to react based on 100% sequence homology:

    Chicken, Xenopus, Dog, Pig

    Source / Purification

    Monoclonal antibody is produced by immunizing animals with a synthetic phosphopeptide corresponding to residues around Ser473 of human Akt.

    Background

    Akt, also referred to as PKB or Rac, plays a critical role in controlling cell survival and apoptosis (1-3). This protein kinase is activated by insulin and various growth and survival factors to function in a wortmannin-sensitive pathway involving PI3 kinase (2,3). Akt is activated by phospholipid binding and activation loop phosphorylation at Thr308 by PDK1 (4) and by phosphorylation within the carboxy terminus at Ser473. The previously elusive PDK2 responsible for phosphorylation of Akt at Ser473 has been identified as mammalian target of rapamycin (mTOR) in a rapamycin-insensitive complex with rictor and Sin1 (5,6). Akt promotes cell survival by inhibiting apoptosis through phosphorylation and inactivation of several targets, including Bad (7), forkhead transcription factors (8), c-Raf (9), and caspase-9. PTEN phosphatase is a major negative regulator of the PI3K/Akt signaling pathway (10). LY294002 is a specific PI3 kinase inhibitor (11). Another essential Akt function is the regulation of glycogen synthesis through phosphorylation and inactivation of GSK-3α and β (12,13). Akt may also play a role in insulin stimulation of glucose transport (12). In addition to its role in survival and glycogen synthesis, Akt is involved in cell cycle regulation by preventing GSK-3β-mediated phosphorylation and degradation of cyclin D1 (14) and by negatively regulating the cyclin-dependent kinase inhibitors p27 Kip1 (15) and p21 Waf1/Cip1 (16). Akt also plays a critical role in cell growth by directly phosphorylating mTOR in a rapamycin-sensitive complex containing raptor (17). More importantly, Akt phosphorylates and inactivates tuberin (TSC2), an inhibitor of mTOR within the mTOR-raptor complex (18,19).
    1. Franke, T.F. et al. (1997) Cell 88, 435-7.
    2. Burgering, B.M. and Coffer, P.J. (1995) Nature 376, 599-602.
    3. Franke, T.F. et al. (1995) Cell 81, 727-36.
    4. Alessi, D.R. et al. (1996) EMBO J 15, 6541-51.
    5. Sarbassov, D.D. et al. (2005) Science 307, 1098-101.
    6. Jacinto, E. et al. (2006) Cell 127, 125-37.
    7. Cardone, M.H. et al. (1998) Science 282, 1318-21.
    8. Brunet, A. et al. (1999) Cell 96, 857-68.
    9. Zimmermann, S. and Moelling, K. (1999) Science 286, 1741-4.
    10. Cantley, L.C. and Neel, B.G. (1999) Proc Natl Acad Sci USA 96, 4240-5.
    11. Vlahos, C.J. et al. (1994) J Biol Chem 269, 5241-8.
    12. Hajduch, E. et al. (2001) FEBS Lett 492, 199-203.
    13. Cross, D.A. et al. (1995) Nature 378, 785-9.
    14. Diehl, J.A. et al. (1998) Genes Dev 12, 3499-511.
    15. Gesbert, F. et al. (2000) J Biol Chem 275, 39223-30.
    16. Zhou, B.P. et al. (2001) Nat Cell Biol 3, 245-52.
    17. Navé, B.T. et al. (1999) Biochem J 344 Pt 2, 427-31.
    18. Inoki, K. et al. (2002) Nat Cell Biol 4, 648-57.
    19. Manning, B.D. et al. (2002) Mol Cell 10, 151-62.

    Alternate Names

    AKT; akt 2; AKT serine/threonine kinase 1; AKT serine/threonine kinase 2; AKT serine/threonine kinase 3; AKT1; AKT1 kinase; AKT1m; AKT2; AKT3; DKFZp434N0250; HIHGHH; MGC99656; MPPH; MPPH2; Murine thymoma viral (v-akt) homolog-2; PKB; PKB alpha; PKB beta; PKB gamma; PKB-ALPHA; PKB-GAMMA; PKBB; PKBBETA; PKBG; PRKBA; PRKBB; PRKBG; Protein kinase Akt-2; Protein kinase Akt-3; Protein kinase B; Protein kinase B alpha; Protein kinase B beta; Protein kinase B gamma; Proto-oncogene c-Akt; putative v-akt murine thymoma viral oncoprotein 2; RAC; rac protein kinase alpha; rac protein kinase beta; RAC-ALPHA; RAC-alpha serine/threonine-protein kinase; RAC-BETA; RAC-beta serine/threonine-protein kinase; RAC-gamma; RAC-gamma serine/threonine protein kinase; RAC-gamma serine/threonine-protein kinase; RAC-PK-alpha; RAC-PK-beta; RAC-PK-gamma; serine threonine protein kinase, Akt-3; serine-threonine protein kinase; STK-2; v-akt murine thymoma viral oncogene homolog 1; v-akt murine thymoma viral oncogene homolog 2; v-akt murine thymoma viral oncogene homolog 3 (protein kinase B, gamma); v-akt murine thymoma viral oncogene-like protein 1

    For Research Use Only. Not for Use in Diagnostic Procedures.
    Cell Signaling Technology is a trademark of Cell Signaling Technology, Inc.
    All other trademarks are the property of their respective owners. Visit our Trademark Information page.