Cell Signaling Technology Logo - Extra Large
Recombinant Flag
Recombinant: Superior lot-to-lot consistency, continuous supply, and animal-free manufacturing.

Phospho-Tyrosine Mouse Monoclonal Antibody (P-Tyr-100) (Magnetic Bead Conjugate) #8095

Filter:
  • IP

    Product Specifications

    REACTIVITY All
    SENSITIVITY Endogenous
    MW (kDa)
    Source/Isotype Mouse IgG1
    Application Key:
    • IP-Immunoprecipitation 
    Species Cross-Reactivity Key:
    • All-All Species Expected 

    Product Information

    Product Description

    This Cell Signaling Technology (CST) antibody is immobilized by the covalent reaction of hydrazinonicotinamide-modifed antibody with formylbenzamide-modified magnetic bead. Phospho-Tyrosine Mouse mAb (P-Tyr-100) (Magnetic Bead Conjugate) is useful for immunoprecipitation assays. The unconjugated Phospho-Tyrosine Mouse mAb (P-Tyr-100) #9411 reacts with all species of phospho-tyrosine protein. CST expects that Phospho-Tyrosine Mouse mAb (P-Tyr-100) (Magnetic Bead Conjugate) will also recognize phospho proteins in all species.

    Product Usage Information

    Application Dilution
    Immunoprecipitation 1:20

    Storage

    Supplied in PBS Buffer (pH 7.2), 0.1% Tween® 20. Store at 4°C. Do not aliquot the antibodies.

    Protocol

    Specificity / Sensitivity

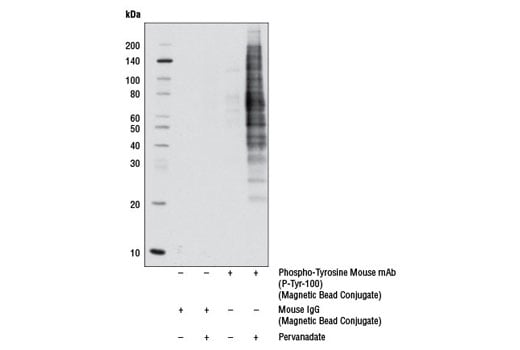
    Phospho-Tyrosine Mouse Monoclonal Antibody (P-Tyr-100) (Magnetic Bead Conjugate) contains high affinity beads. ELISAs against a wide variety of phosphopeptides indicate that P-Tyr-100 binds phospho-Tyr in a manner largely independent of the surrounding amino acid sequence. 2D gel western blot analysis of pervanadate-treated cell extracts shows that P-Tyr-100 interacts with a broad range of tyrosine-phosphorylated proteins. P-Tyr-100 does not cross-react with peptides containing phospho-Ser or phospho-Thr. (U.S. Patent No's.: 6,441,140; 6,982,318; 7,259,022; 7,344,714; U.S.S.N. 11,484,485; and all foreign equivalents.)

    Species Reactivity:

    All Species Expected

    Source / Purification

    Monoclonal antibody is produced by immunizing animals with phospho-tyrosine containing peptides.

    Background

    Tyrosine phosphorylation plays a key role in cellular signaling (1). Research studies have shown that in cancer, unregulated tyrosine kinase activity can drive malignancy and tumor formation by generating inappropriate proliferation and survival signals (2). Antibodies specific for phospho-tyrosine (3,4) have been invaluable reagents in these studies. The phospho-tyrosine monoclonal antibodies developed by Cell Signaling Technology are exceptionally sensitive tools for studying tyrosine phosphorylation and monitoring tyrosine kinase activity in high throughput drug discovery.
    For Research Use Only. Not for Use in Diagnostic Procedures.
    Cell Signaling Technology is a trademark of Cell Signaling Technology, Inc.
    All other trademarks are the property of their respective owners. Visit our Trademark Information page.